相关产品推荐更多 >
万千商家帮你免费找货
0 人在求购买到急需产品
- 详细信息
- 技术资料
- 免疫原:
5-hydroxymethylcytosine conjugated to KLH.
- 亚型:
IgG
- 形态:
Liquid
- 保存条件:
Store as concentrated solution. Centrifuge briefly prior to opening vial. For short-term storage (1-2 weeks), store at 4ºC. For long-term storage, aliquot and store at -20ºC or below. Avoid multiple freeze-thaw cycles.
- 克隆性:
Polyclonal
- 标记物:
Unconjugated
- 适应物种:
Species independent
- 保质期:
12 months from the shipping date of the product.
- 目录编号:
GTX60802
- 级别:
Primary Antibodies
- 库存:
Available
- 供应商:
GeneTex
- 宿主:
Rabbit
- 应用范围:
Dot, ELISA, hMeDIP
- 靶点:
5-Hydroxymethylcytosine / 5-hmC
- 抗体英文名:
5-Hydroxymethylcytosine / 5-hmC antibody - MeDIP grade
- 抗体名:
5-Hydroxymethylcytosine / 5-hmC 抗体 - MeDIP grade
- 规格:
50 μl
ELISA analysis of peptides used for immunization using GTX60802 5-Hydroxymethylcytosine / 5-hmC antibody - MeDIP grade.
hMeDIP analysis of HeLa cells DNA using GTX60802 5-Hydroxymethylcytosine / 5-hmC antibody - MeDIP grade. 1 μg of human Hela cells DNA were spiked with non-methylated, methylated, and hydroxymethylated fragments. The DNA was prepared with the GenDNA module of the hMeDIP kit and sonicated to have DNA fragments of 300-500 bp. The IgG isotype antibodies from rabbit was used as negative control. The obtained results show that this antibody is highly specific for this base modification (no IP with non-methylated or methylated C bases containing fragments).
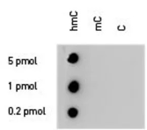
Dot blot analysis of 100 to 4 ng (equivalent of 5 to 0.2 pmol of C-bases) of the hmC, mC and C PCR controls using GTX60802 5-Hydroxymethylcytosine / 5-hmC antibody - MeDIP grade.
Dilution : 1:200
风险提示:丁香通仅作为第三方平台,为商家信息发布提供平台空间。用户咨询产品时请注意保护个人信息及财产安全,合理判断,谨慎选购商品,商家和用户对交易行为负责。对于医疗器械类产品,请先查证核实企业经营资质和医疗器械产品注册证情况。
技术资料暂无技术资料 索取技术资料







![p53 (phospho Ser315) antibody [#18]](https://img1.dxycdn.com/2022/0328/479/3952903841817700453-14.jpg!wh200)



