相关产品推荐更多 >
万千商家帮你免费找货
0 人在求购买到急需产品
- 详细信息
- 文献和实验
- 技术资料
- 免疫原:
Purified recombinant fragment of human Cytokeratin 5 (AA: 316-590) expressed in E. Coli.
- 亚型:
IgG1
- 形态:
Liquid
- 保存条件:
Store as concentrated solution. Centrifuge briefly prior to opening vial. For short-term storage (1-2 weeks), store at 4ºC. For long-term storage, aliquot and store at -20ºC or below. Avoid multiple freeze-thaw cycles.
- 克隆性:
Monoclonal
- 标记物:
Unconjugated
- 适应物种:
Human
- 保质期:
12 months from the shipping date of the product.
- 抗原来源:
Human
- 目录编号:
GTX60722
- 级别:
Primary Antibodies
- 库存:
Available
- 供应商:
GeneTex
- 宿主:
Mouse
- 应用范围:
WB, IHC-P, ELISA
- 浓度:
1 mg/ml (Please refer to the vial label for the specific concentration.)
- 靶点:
Cytokeratin 5
- 抗体英文名:
Cytokeratin 5 antibody [10C11E6]
- 抗体名:
Cytokeratin 5 抗体 [10C11E6]
- 规格:
100 μg
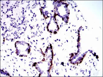
IHC-P analysis of human prostate tissue using GTX60722 Cytokeratin 5 antibody [10C11E6].
ELISA analysis of antigen using GTX60722 Cytokeratin 5 antibody [10C11E6].
Black : Control antigen 100ng
Purple : Antigen 10ng
Blue : Antigen 50ng
Red : Antigen 100ng
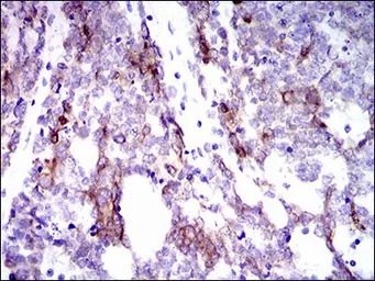
IHC-P analysis of esophageal cancer tissue using GTX60722 Cytokeratin 5 antibody [10C11E6].
WB analysis of A431 cell lysate using GTX60722 Cytokeratin 5 antibody [10C11E6].
风险提示:丁香通仅作为第三方平台,为商家信息发布提供平台空间。用户咨询产品时请注意保护个人信息及财产安全,合理判断,谨慎选购商品,商家和用户对交易行为负责。对于医疗器械类产品,请先查证核实企业经营资质和医疗器械产品注册证情况。
文献和实验secondary antibody review -- data from 99 publications
cytometry used as a control to detect cell responses targeted antigen 7 Alexa Fluor 488 7 Cy3 8 goat IgG Alexa Fluor 488 1:2000 detect antibody binding in human embryonic kidney 293T cells Invitrogen 9 donkey
1.5 � 105 H73C11 Hypo-osmolar 100L3 1.25 kV/cm 1 pulse/10 �s 57–283 WA-11 1F
a 5-10 µg/ml solution of anti-CD3e (145-2C11) in sterile PBS. Calculate the number of wells required for each experimental condition and consider triplicate samples for each condition. For example, to coat one-half plate (48 wells) 2.6 ml of antibody
技术资料暂无技术资料 索取技术资料






![Aurora B antibody [AURKB/3121R]](https://img1.dxycdn.com/2022/0328/533/0856594708759700453-14.jpg!wh200)
![Caldesmon antibody [MSVA-538R] HistoMAX](https://custom.dxycdn.com/trademd/upload/pic/2013/11/12/A1383891150.jpg!small.t.1)



