相关产品推荐更多 >
万千商家帮你免费找货
0 人在求购买到急需产品
- 详细信息
- 文献和实验
- 技术资料
- 免疫原:
Purified recombinant fragment of human PSAP (AA: 325-524 ) expressed in E. Coli.
- 亚型:
IgG1
- 形态:
Liquid
- 保存条件:
Store as concentrated solution. Centrifuge briefly prior to opening vial. For short-term storage (1-2 weeks), store at 4ºC. For long-term storage, aliquot and store at -20ºC or below. Avoid multiple freeze-thaw cycles.
- 克隆性:
Monoclonal
- 标记物:
Unconjugated
- 适应物种:
Human
- 保质期:
12 months from the shipping date of the product.
- 抗原来源:
Human
- 目录编号:
GTX60673
- 级别:
Primary Antibodies
- 库存:
Available
- 供应商:
GeneTex
- 宿主:
Mouse
- 应用范围:
WB, ICC/IF, IHC-P, FACS, ELISA
- 浓度:
1 mg/ml (Please refer to the vial label for the specific concentration.)
- 靶点:
PSAP
- 抗体英文名:
PSAP antibody [4D5F4]
- 抗体名:
PSAP 抗体 [4D5F4]
- 规格:
100 μg
WB analysis of HEK293 (1) and PSAP (AA: 325-524)-hIgGFc transfected HEK293 (2) cell lysate using GTX60673 PSAP antibody [4D5F4].
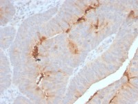
IHC-P analysis of human pancreas tissue using GTX60673 PSAP antibody [4D5F4].
ICC/IF analysis of HepG2 cells using GTX60673 PSAP antibody [4D5F4].
Green : PSAP
Blue: DRAQ5 fluorescent DNA dye
Red: Actin filaments
ELISA analysis of antigen using GTX60673 PSAP antibody [4D5F4].
Black : Control antigen 100ng
Purple : Antigen 10ng
Blue : Antigen 50ng
Red : Antigen 100ng
FACS analysis of HeLa cells using GTX60673 PSAP antibody [4D5F4].
Green : PSAP
Purple : negative control
风险提示:丁香通仅作为第三方平台,为商家信息发布提供平台空间。用户咨询产品时请注意保护个人信息及财产安全,合理判断,谨慎选购商品,商家和用户对交易行为负责。对于医疗器械类产品,请先查证核实企业经营资质和医疗器械产品注册证情况。
文献和实验Immunization Protocol for Monoclonal Antibody Production
followed by i.v. or i.p. boost Saline/PBS i.v. 69 fusion 3d after i.v. boost or 4d after i.p. boost � i.v. 上一篇:Polyclonal Antibody Production 下一篇:The production
杂交瘤技术又称单克隆抗体技术(monoclonal antibody technique)
1975年,Kohler和Milstein发现将小鼠骨髓瘤细胞和绵羊红细胞免疫的小鼠脾细胞进行融合,形成的杂交细胞既可产生抗体,又可无限增殖,从而创立了单克隆抗体杂交瘤技术。这一技术上的突破不仅为医学与 生物 学基础研究开创了新纪元,也为临床疾病的诊断、预防和治疗提供了新的方法。 1. 杂交瘤的基本原理 杂交瘤技术又称单克隆抗体技术(monoclonal antibody technique)。杂交瘤技术是使免疫
8.30 华科最新研究:免疫机制参与心肌梗死后缺血性心力衰竭
-Semaphorin 4D antibody unravel a novel pro-invasive mechanism of vascular targeting agents ⑤ JACC 子刊:较差的 HIV 控制增加心力衰竭患者发生心脏性猝死的风险在一项新的研究中,美国麻省总医院的 Raza M. Alvi 博士及其同事们发现因心力衰竭(heart failure)住院的 HIV 感染者随后发生心脏性猝死(sudden cardiac death, SCD)的风险增加了。这些研究人员分析了来自单个学术
技术资料暂无技术资料 索取技术资料





![Caspase 8 antibody [EPR162]](https://img1.dxycdn.com/2022/0329/638/7307230759295020453-14.jpg!wh200)
![Cytokeratin 8 antibody [KRT8/4067R]](https://img1.dxycdn.com/2022/0328/852/0299373248049700453-14.jpg!wh200)




