相关产品推荐更多 >
万千商家帮你免费找货
0 人在求购买到急需产品
- 详细信息
- 文献和实验
- 技术资料
- 免疫原:
Purified recombinant fragment of human Doublecortin (AA: 362-411) expressed in E. Coli.
- 亚型:
IgG1
- 形态:
Liquid
- 保存条件:
Store as concentrated solution. Centrifuge briefly prior to opening vial. For short-term storage (1-2 weeks), store at 4ºC. For long-term storage, aliquot and store at -20ºC or below. Avoid multiple freeze-thaw cycles.
- 克隆性:
Monoclonal
- 标记物:
Unconjugated
- 适应物种:
Human, Mouse
- 保质期:
12 months from the shipping date of the product.
- 抗原来源:
Human
- 目录编号:
GTX60612
- 级别:
Primary Antibodies
- 库存:
Available
- 供应商:
GeneTex
- 宿主:
Mouse
- 应用范围:
WB, ICC/IF, IHC-P, FACS, ELISA
- 浓度:
1 mg/ml (Please refer to the vial label for the specific concentration.)
- 靶点:
Doublecortin
- 抗体英文名:
Doublecortin antibody [2G5]
- 抗体名:
Doublecortin 抗体 [2G5]
- 规格:
100 μg
WB analysis of human DCX recombinant protein using GTX60612 Doublecortin antibody [2G5].
WB analysis of Mouse heart lysate using GTX60612 Doublecortin antibody [2G5].
FACS analysis of SK-N-SH cells using GTX60612 Doublecortin antibody [2G5].
Green : Doublecortin
Red : negative control
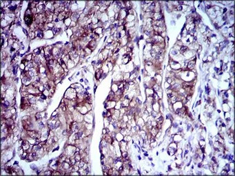
IHC-P analysis of kidney cancer tissue using GTX60612 Doublecortin antibody [2G5].
ELISA analysis of antigen using GTX60612 Doublecortin antibody [2G5].
Black : Control antigen 100ng
Purple : Antigen 10ng
Blue : Antigen 50ng
Red : Antigen 100ng
ICC/IF analysis of HepG2 cells using GTX60612 Doublecortin antibody [2G5].
Green : Doublecortin
Blue: DRAQ5 fluorescent DNA dye
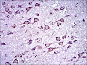
IHC-P analysis of human brain tissue using GTX60612 Doublecortin antibody [2G5].
风险提示:丁香通仅作为第三方平台,为商家信息发布提供平台空间。用户咨询产品时请注意保护个人信息及财产安全,合理判断,谨慎选购商品,商家和用户对交易行为负责。对于医疗器械类产品,请先查证核实企业经营资质和医疗器械产品注册证情况。
文献和实验Andr獺s IE et al., Mol Brain 2020 (PMID:32066471)
人可溶性白细胞抗原G5(sHLA-G5)ELISA试剂盒 说明书
上海西唐生物科技有限公司 021-55229872, 65333639 www.westang.com 人可溶性白细胞抗原G5 (sHLA-G5)ELISA 试剂盒 ( 用于血清、血浆、细胞培养上清液和其它生物体液内 ) 原理 本实验采用双抗体夹心 ABC-ELISA 法。用抗人 sHLA-G5 单抗包被于酶标板上,标准品和样品中的 sHLA-G5与单抗结合,加入
Analysis of the Soluble Isoforms of HLA-G: mRNAs and Proteins
in our laboratory to distinguish mRNAs encoding HLA-G5 and HLA-G6, and antibody-based protocols for identification of the soluble isoforms.
三句话读懂一篇 CNS,NEJM 报道首次发现癌症母婴传播;基因治疗屡获突破;绘制哺乳动物祖先的基因图谱...
: 揭示靶向 NS1 的黄病毒广谱保护性抗体作用机制 2021 年 1 月 8 日,中国科学院微生物研究所 / 中国科学院北京生命科学研究院高福院士团队、中国科学院微生物所施一团队与澳大利亚昆士兰大学的 Paul R. Young 及 Daniel Watterson 团队联合在 Science 杂志发表了论文 A broadly protective antibody that targets the flavivirus NS1 protein, 研究结果发现了一株对多种黄病毒(登革病毒、西尼
技术资料暂无技术资料 索取技术资料








![Herpes virus 7 gH antibody [2]](https://img1.dxycdn.com/2022/0328/802/4933836119047700453-14.jpg!wh200)

