相关产品推荐更多 >
万千商家帮你免费找货
0 人在求购买到急需产品
- 详细信息
- 文献和实验
- 技术资料
- 免疫原:
Purified recombinant fragment of human SHH (AA: 26-161) expressed in E. Coli.
- 亚型:
IgG1
- 形态:
Liquid
- 保存条件:
Store as concentrated solution. Centrifuge briefly prior to opening vial. For short-term storage (1-2 weeks), store at 4ºC. For long-term storage, aliquot and store at -20ºC or below. Avoid multiple freeze-thaw cycles.
- 克隆性:
Monoclonal
- 标记物:
Unconjugated
- 适应物种:
Human, Mouse, Monkey
- 保质期:
12 months from the shipping date of the product.
- 抗原来源:
Human
- 目录编号:
GTX60606
- 级别:
Primary Antibodies
- 库存:
Available
- 供应商:
GeneTex
- 宿主:
Mouse
- 应用范围:
WB, IHC-P, FACS, ELISA
- 浓度:
1 mg/ml (Please refer to the vial label for the specific concentration.)
- 靶点:
Shh
- 抗体英文名:
Shh antibody [5H4]
- 抗体名:
Shh 抗体 [5H4]
- 规格:
100 μg
FACS analysis of HeLa cells using GTX60606 Shh antibody [5H4].
Green : Shh
Red : negative control
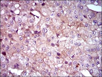
IHC-P analysis of liver cancer tissue using GTX60606 Shh antibody [5H4].
WB analysis of HEK293 (1) and Shh (AA: 26-161)-hIgGFc transfected HEK293 (2) cell lysate using GTX60606 Shh antibody [5H4].
WB analysis of LNCaP (1), HepG2 (2), PANC-1 (3),HeLa (4), SK-N-SH (5), F9 (6), NIH3T3 (7), and COS7 (8) cell lysate using GTX60606 Shh antibody [5H4].
ELISA analysis of antigen using GTX60606 Shh antibody [5H4].
Black : Control antigen 100ng
Purple : Antigen 10ng
Blue : Antigen 50ng
Red : Antigen 100ng
风险提示:丁香通仅作为第三方平台,为商家信息发布提供平台空间。用户咨询产品时请注意保护个人信息及财产安全,合理判断,谨慎选购商品,商家和用户对交易行为负责。对于医疗器械类产品,请先查证核实企业经营资质和医疗器械产品注册证情况。
文献和实验人Sonic Hedgehog(SHH)ELISA试剂盒 说明书
上海西唐生物科技有限公司 021-55229872, 65333639 www.westang.com 人 Sonic Hedgehog ( SHH )ELISA 试剂盒 ( 用于血清、血浆、细胞培养上清液和其它生物体液内 ) 原理 本实验采用双抗体夹心 ABC-ELISA 法。用抗人 SHH 单抗包被于酶标板上,标准品和样品中的 SHH与单抗结合,加入生物
ELISPOT (Enzyme-linked ImmunoSPOT)
of cytokine-producing cells at the single cell level. The method employs the sandwich assay approach of the enzyme-linked immunosorbent assay (ELISA), with some variations. The ELISPOT capture antibody is coated aseptically onto a polyvinylidene difluoride
Intracellular Cytokine Staining Protocol
anti-cytokine antibodies with excess amounts of unlabeled antibody. Alternatively, recombinant cytokines can be used for blocking.eBioscience antibodies are available as Functional Grade (FG) Purified (sterile, endotoxin-tested, no azide), Purified
技术资料暂无技术资料 索取技术资料





![TREM-2b antibody [5J46]](https://img1.dxycdn.com/2022/0328/585/2604055724699400453-14.jpg!wh200)



![p21 Cip1 antibody [WA-1]](https://img1.dxycdn.com/2022/0328/840/9792364421770700453-14.jpg!wh200)

