相关产品推荐更多 >
万千商家帮你免费找货
0 人在求购买到急需产品
- 详细信息
- 文献和实验
- 技术资料
- 免疫原:
Purified recombinant fragment of human PPP1CA expressed in E. Coli.
- 亚型:
IgG1
- 形态:
Liquid
- 保存条件:
Store as concentrated solution. Centrifuge briefly prior to opening vial. For short-term storage (1-2 weeks), store at 4ºC. For long-term storage, aliquot and store at -20ºC or below. Avoid multiple freeze-thaw cycles.
- 克隆性:
Monoclonal
- 标记物:
Unconjugated
- 适应物种:
Human
- 保质期:
12 months from the shipping date of the product.
- 抗原来源:
Human
- 目录编号:
GTX60538
- 级别:
Primary Antibodies
- 库存:
Available
- 供应商:
GeneTex
- 宿主:
Mouse
- 应用范围:
WB, ELISA
- 靶点:
PPP1A
- 抗体英文名:
PPP1A antibody [5E9]
- 抗体名:
PPP1A 抗体 [5E9]
- 规格:
100 μl
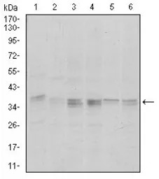
WB analysis of A431 (1), Hela (2), HepG2 (3), MCF-7 (4), Jurkat (5) and A549 (6) cells using GTX60538 PPP1A antibody [5E9].
ELISA analysis of antigen using GTX60538 PPP1A antibody [5E9].
Black : Control antigen 100ng
Purple : Antigen 10ng
Blue : Antigen 50ng
Red : Antigen 100ng
WB analysis of human PPP1A (AA: 174-330) recombinant protein using GTX60538 PPP1A antibody [5E9].
风险提示:丁香通仅作为第三方平台,为商家信息发布提供平台空间。用户咨询产品时请注意保护个人信息及财产安全,合理判断,谨慎选购商品,商家和用户对交易行为负责。对于医疗器械类产品,请先查证核实企业经营资质和医疗器械产品注册证情况。
文献和实验【求助】什么是micro-array analysis,怎么翻译?
%be%ae%e9%98%b5%e5%88%97 微阵列 Studies on Piezoelectric Insulin-C Peptide Micro-array Immunosensor 压电胰岛素-C肽微阵列免疫传感器研究 Real-time SPR Phase Detection for Protein Micro-array 蛋白质微阵列SPR实时相位检测 Research
Wholemount in situ hybridisation
. Each batch should ideally be tested. As a rough guide, use 5 min for E7.5, 7 min for E8.5, 9 min for E9.5, 11 min for E10.5, 12-14 min for E11.5. 8 Wash twice with PBTX for 5 minutes each. Be careful - the embryos are fragile
Neutralizing Bioassay Protocols
describe in vitro bioassays using neutralizing anti-mouse and anti-human cytokine antibodies. In general, the cytokine bioassay protocols are modified to pre-incubate the cytokine of interest with the specific neutralizing antibody prior to addition
技术资料暂无技术资料 索取技术资料










