相关产品推荐更多 >
万千商家帮你免费找货
0 人在求购买到急需产品
- 详细信息
- 文献和实验
- 技术资料
- 免疫原:
Purified recombinant fragment of human BIRC5 expressed in E. Coli.
- 亚型:
IgG1
- 形态:
Liquid
- 保存条件:
Store as concentrated solution. Centrifuge briefly prior to opening vial. For short-term storage (1-2 weeks), store at 4ºC. For long-term storage, aliquot and store at -20ºC or below. Avoid multiple freeze-thaw cycles.
- 克隆性:
Monoclonal
- 标记物:
Unconjugated
- 适应物种:
Human
- 保质期:
12 months from the shipping date of the product.
- 抗原来源:
Human
- 目录编号:
GTX60534
- 级别:
Primary Antibodies
- 库存:
Available
- 供应商:
GeneTex
- 宿主:
Mouse
- 应用范围:
WB, ICC/IF, IHC-P, FACS, ELISA
- 浓度:
1 mg/ml (Please refer to the vial label for the specific concentration.)
- 靶点:
Survivin
- 抗体英文名:
Survivin antibody [1H5]
- 抗体名:
Survivin 抗体 [1H5]
- 规格:
100 μg
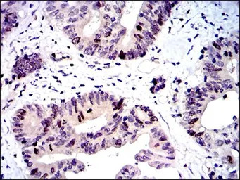
IHC-P analysis of cervical cancer tissue using GTX60534 Survivin antibody [1H5].
WB analysis of human Survivin (AA: 1-142) recombinant protein using GTX60534 Survivin antibody [1H5].
FACS analysis of Jurkat cells using GTX60534 Survivin antibody [1H5].
Green : Survivin
Red : negative control
ELISA analysis of antigen using GTX60534 Survivin antibody [1H5].
Black : Control antigen 100ng
Purple : Antigen 10ng
Blue : Antigen 50ng
Red : Antigen 100ng
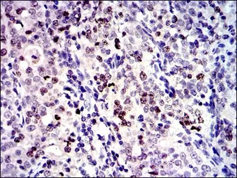
IHC-P analysis of colon cancer tissue using GTX60534 Survivin antibody [1H5].
WB analysis of HEK293 (1) and Survivin(AA: 1-142)-hIgGFc transfected HEK293 (2) cell lysate using GTX60534 Survivin antibody [1H5].
ICC/IF analysis of MSCS cells using GTX60534 Survivin antibody [1H5].
Green : Survivin
Blue: DRAQ5 fluorescent DNA dye
Red: Actin filaments
风险提示:丁香通仅作为第三方平台,为商家信息发布提供平台空间。用户咨询产品时请注意保护个人信息及财产安全,合理判断,谨慎选购商品,商家和用户对交易行为负责。对于医疗器械类产品,请先查证核实企业经营资质和医疗器械产品注册证情况。
文献和实验Wang DW et al., Eur. Rev. Med. Pharmacol. Sci. 2018 22()
上海西唐生物科技有限公司 021-55229872, 65333639 www.westang.com 人生存素 ( Survivin )ELISA 试剂盒 ( 用于血清、血浆、细胞培养上清液和其它生物体液内 ) 原理 本实验采用双抗体夹心 ABC-ELISA 法。用抗人 Survivin 单抗包被于酶标板上,标准品和样品中的 Survivin与单抗结合,加入生物素化的抗人
secondary antibody review -- data from 99 publications
cytometry used as a control to detect cell responses targeted antigen 7 Alexa Fluor 488 7 Cy3 8 goat IgG Alexa Fluor 488 1:2000 detect antibody binding in human embryonic kidney 293T cells Invitrogen 9 donkey
TSA Treatment of Mammalian Cells
) towards the nuclear periphery. HP1 domain disruption upon TSA treatment is monitored by immunofluorescence using an antibody against HP1alpha (2HP1H5) from EUROMEDEX. Reversibility of the drug effect was obtained within 20 hours after TSA removal. (Figure
技术资料暂无技术资料 索取技术资料





![TREM2 antibody [014]](https://img1.dxycdn.com/2022/0328/956/5233579825828700453-14.png!wh200)

![CD62E + CD62P antibody [1.2B6] (FITC)](https://img1.dxycdn.com/2022/0329/296/5269708844556020453-14.jpg!wh200)



