相关产品推荐更多 >
万千商家帮你免费找货
0 人在求购买到急需产品
- 详细信息
- 技术资料
- 免疫原:
Purified recombinant fragment of human CASP8(AA : 302-464) expressed in E. Coli.
- 亚型:
IgG1
- 形态:
Liquid
- 保存条件:
Store as concentrated solution. Centrifuge briefly prior to opening vial. For short-term storage (1-2 weeks), store at 4ºC. For long-term storage, aliquot and store at -20ºC or below. Avoid multiple freeze-thaw cycles.
- 克隆性:
Monoclonal
- 标记物:
Unconjugated
- 适应物种:
Human, Mouse, Rat, Monkey
- 保质期:
12 months from the shipping date of the product.
- 抗原来源:
Human
- 目录编号:
GTX60510
- 级别:
Primary Antibodies
- 库存:
Available
- 供应商:
GeneTex
- 宿主:
Mouse
- 应用范围:
WB, IHC-P, FACS, ELISA
- 靶点:
Caspase 8
- 抗体英文名:
Caspase 8 antibody [1H11]
- 抗体名:
Caspase 8 抗体 [1H11]
- 规格:
100 μl
IHC-P analysis of colon cancer tissue using GTX60510 Caspase 8 antibody [1H11].
ELISA analysis of antigen using GTX60510 Caspase 8 antibody [1H11].
Red : Control antigen 100ng
Purple : Antigen 10ng
Green : Antigen 50ng
Blue : Antigen 100ng
WB analysis of HeLa (1), Jurkat (2), THP-1 (3), NIH3T3 (4), Cos7 (5) and PC-12 (6) cell lysate using GTX60510 Caspase 8 antibody [1H11].
FACS analysis of NIH3T3 cells using GTX60510 Caspase 8 antibody [1H11].
Blue : Caspase 8
Red : negative control
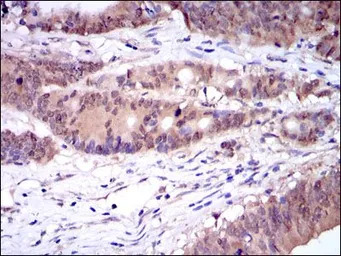
IHC-P analysis of liver cancer tissue using GTX60510 Caspase 8 antibody [1H11].
风险提示:丁香通仅作为第三方平台,为商家信息发布提供平台空间。用户咨询产品时请注意保护个人信息及财产安全,合理判断,谨慎选购商品,商家和用户对交易行为负责。对于医疗器械类产品,请先查证核实企业经营资质和医疗器械产品注册证情况。
技术资料暂无技术资料 索取技术资料


![Caspase 8 antibody [1H11]](https://img1.dxycdn.com/2022/0328/781/3002881608403500453-14.jpg)


![GluR3 antibody [1D2]](https://img1.dxycdn.com/2022/0328/203/0441794068692500453-14.jpg!wh200)


![Calsequestrin 2 antibody [AT4E10]](https://img1.dxycdn.com/2022/0328/324/4083037166500500453-14.jpg!wh200)

