相关产品推荐更多 >
万千商家帮你免费找货
0 人在求购买到急需产品
- 详细信息
- 文献和实验
- 技术资料
- 免疫原:
Purified recombinant fragment of human TCP1 beta expressed in E. Coli.
- 亚型:
IgG1
- 形态:
Liquid
- 保存条件:
Store as concentrated solution. Centrifuge briefly prior to opening vial. For short-term storage (1-2 weeks), store at 4ºC. For long-term storage, aliquot and store at -20ºC or below. Avoid multiple freeze-thaw cycles.
- 克隆性:
Monoclonal
- 标记物:
Unconjugated
- 适应物种:
Human, Mouse, Rat, Monkey
- 保质期:
12 months from the shipping date of the product.
- 抗原来源:
Human
- 目录编号:
GTX60505
- 级别:
Primary Antibodies
- 库存:
Available
- 供应商:
GeneTex
- 宿主:
Mouse
- 应用范围:
WB, ICC/IF, FACS, ELISA
- 靶点:
TCP1 beta
- 抗体英文名:
TCP1 beta antibody [5B5C4]
- 抗体名:
TCP1 beta 抗体 [5B5C4]
- 规格:
100 μl
WB analysis of human TCP1 (AA: 87-290) recombinant protein using GTX60505 TCP1 beta antibody [5B5C4].
ELISA analysis of antigen using GTX60505 TCP1 beta antibody [5B5C4].
Red : Control antigen 100ng
Purple : Antigen 10ng
Green : Antigen 50ng
Blue : Antigen 100ng
ICC/IF analysis of 3T3-L1 cells using GTX60505 TCP1 beta antibody [5B5C4].
Green : TCP1 beta
Blue: DRAQ5 fluorescent DNA dye
Red: Actin filaments
FACS analysis of NIH3T3 cells using GTX60505 TCP1 beta antibody [5B5C4].
Blue : TCP1 beta
Red : negative control
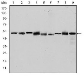
WB analysis of HeLa (1), MCF-7 (2), Jurkat (3), T47D (4), K562 (5), A431 (6), NIH3T3 (7), PC-12 (8) and Cos7 (9) cell lysate using GTX60505 TCP1 beta antibody [5B5C4].
风险提示:丁香通仅作为第三方平台,为商家信息发布提供平台空间。用户咨询产品时请注意保护个人信息及财产安全,合理判断,谨慎选购商品,商家和用户对交易行为负责。对于医疗器械类产品,请先查证核实企业经营资质和医疗器械产品注册证情况。
文献和实验Anticardiolipin Antibody and Anti-beta 2 Glycoprotein I Antibody Assays
) antibodies and anti-beta 2 glycoprotein I (β2-GPI) antibodies. Other autoantibodies, such as those directed against anionic phospholipids, can also be assayed; however they are not of clinical significance. Participation in a quality assurance
补体成分 C4(C4a/C4b) 补体成分:C4 血清浓度(μg/ml):200~500 分子量(kDa):210 亚单位(链)及分子量(kDa):α:90β:78γ:33 激活产物:C4a;C4b 生物学活性:C4a 弱的过敏毒素作用 C4b 组成CP中的C3、C5转化
上海西唐生物科技有限公司 021-55229872, 65333639 www.westang.com 大鼠补体 C4(C4)ELISA 试剂盒 ( 用于血清、血浆、细胞培养上清液和尿液生物体液内 ) 原理 本实验采用双抗体夹心 ABC-ELISA 法。用抗大鼠 C4 单抗包被于酶标板上,标准品和样品中的 C4 与单抗结合,加入生物素化的抗大鼠 C4 ,形成免疫复合物连接在板上,辣根
技术资料暂无技术资料 索取技术资料





![Respiratory Syncytial virus type B G protein antibody [HL1733]](https://img1.dxycdn.com/2023/0605/564/4228452231121755661-14.jpg!wh200)

![CCR3 antibody [5E8] (PE)](https://img1.dxycdn.com/2022/0328/408/8845796033307700453-14.jpg!wh200)
![SULF2 antibody [2B4], C-term](https://img1.dxycdn.com/2022/0329/856/3259270815554020453-14.jpg!wh200)


