相关产品推荐更多 >
万千商家帮你免费找货
0 人在求购买到急需产品
- 详细信息
- 文献和实验
- 技术资料
- 免疫原:
Purified recombinant fragment of human FGG(AA : 210-437) expressed in E. Coli.
- 亚型:
IgG2a
- 形态:
Liquid
- 保存条件:
Store as concentrated solution. Centrifuge briefly prior to opening vial. For short-term storage (1-2 weeks), store at 4ºC. For long-term storage, aliquot and store at -20ºC or below. Avoid multiple freeze-thaw cycles.
- 克隆性:
Monoclonal
- 标记物:
Unconjugated
- 适应物种:
Human, Mouse
- 保质期:
12 months from the shipping date of the product.
- 抗原来源:
Human
- 目录编号:
GTX60502
- 级别:
Primary Antibodies
- 库存:
Available
- 供应商:
GeneTex
- 宿主:
Mouse
- 应用范围:
WB, ICC/IF, IHC-P, FACS, ELISA
- 靶点:
Fibrinogen gamma
- 抗体英文名:
Fibrinogen gamma antibody [4H9]
- 抗体名:
Fibrinogen gamma 抗体 [4H9]
- 规格:
100 μl
WB analysis of human Fibrinogen gamma (AA: 210-437) recombinant protein using GTX60502 Fibrinogen gamma antibody [4H9].
ELISA analysis of antigen using GTX60502 Fibrinogen gamma antibody [4H9].
Red : Control antigen 100ng
Purple : Antigen 10ng
Green : Antigen 50ng
Blue : Antigen 100ng
ICC/IF analysis of 3T3-L1 cells using GTX60502 Fibrinogen gamma antibody [4H9].
Green : Fibrinogen gamma
Blue: DRAQ5 fluorescent DNA dye
Red: Actin filaments
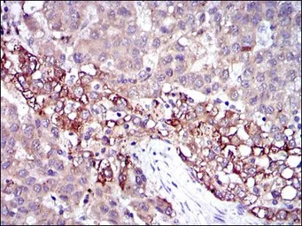
IHC-P analysis of liver cancer tissue using GTX60502 Fibrinogen gamma antibody [4H9].
FACS analysis of HepG2 cells using GTX60502 Fibrinogen gamma antibody [4H9].
Blue : Fibrinogen gamma
Red : negative control
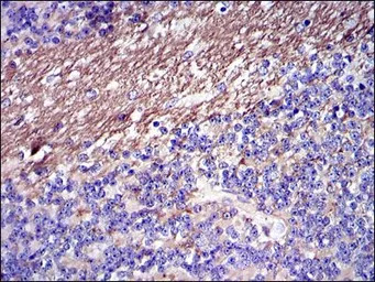
IHC-P analysis of human cerebellum tissue using GTX60502 Fibrinogen gamma antibody [4H9].
风险提示:丁香通仅作为第三方平台,为商家信息发布提供平台空间。用户咨询产品时请注意保护个人信息及财产安全,合理判断,谨慎选购商品,商家和用户对交易行为负责。对于医疗器械类产品,请先查证核实企业经营资质和医疗器械产品注册证情况。
文献和实验小鼠纤维蛋白原(Fibrinogen)ELISA试剂盒 说明书
上海西唐生物科技有限公司 021-55229872, 65333639 www.westang.com 小鼠纤维蛋白原 ( Fibrinogen )ELISA 试剂盒 ( 用于血清、血浆、细胞培养上清液和生物体液内 ) 原理 本实验采用双抗体夹心 ABC-ELISA 法。用抗小鼠 Fibrinogen 单抗包被于酶标板上,标准品和样品中的 Fibrinogen与单抗
人纤维蛋白原(Fibrinogen)ELISA试剂盒 说明书
人纤维蛋白原 ( Fibrinogen )ELISA 试剂盒 ( 用于血清、血浆、细胞培养上清液和生物体液内 ) 原理 本实验采用双抗体夹心 ABC-ELISA 法。用抗人 Fibrinogen 单抗包被于酶标板上,标准品和样品中的 Fibrinogen与单抗结合,加入生物素化的抗人 Fibrinogen ,形成免疫复合物连接在板上,辣根过氧化物酶标记的 Streptavidin 与生物素结合
secondary antibody review -- data from 99 publications
cytometry used as a control to detect cell responses targeted antigen 7 Alexa Fluor 488 7 Cy3 8 goat IgG Alexa Fluor 488 1:2000 detect antibody binding in human embryonic kidney 293T cells Invitrogen 9 donkey
技术资料暂无技术资料 索取技术资料







![CD69 antibody [FN50] (PerCP)](https://img1.dxycdn.com/2022/0328/051/0163486232206500453-14.jpg!wh200)
![NMDAR2B antibody [NR2B]](https://img1.dxycdn.com/2022/0328/180/2335193788046500453-14.jpg!wh200)


