相关产品推荐更多 >
万千商家帮你免费找货
0 人在求购买到急需产品
- 详细信息
- 文献和实验
- 技术资料
- 免疫原:
Purified recombinant fragment of human ApoE expressed in E. Coli.
- 亚型:
IgG1
- 形态:
Liquid
- 保存条件:
Store as concentrated solution. Centrifuge briefly prior to opening vial. For short-term storage (1-2 weeks), store at 4ºC. For long-term storage, aliquot and store at -20ºC or below. Avoid multiple freeze-thaw cycles.
- 克隆性:
Monoclonal
- 标记物:
Unconjugated
- 适应物种:
Human
- 保质期:
12 months from the shipping date of the product.
- 抗原来源:
Human
- 目录编号:
GTX60446
- 级别:
Primary Antibodies
- 库存:
Available
- 供应商:
GeneTex
- 宿主:
Mouse
- 应用范围:
WB, IHC-P, FACS, ELISA
- 靶点:
Apolipoprotein E
- 抗体英文名:
Apolipoprotein E antibody [1H4]
- 抗体名:
Apolipoprotein E 抗体 [1H4]
- 规格:
100 μl
FACS analysis of HepG2 cells using GTX60446 Apolipoprotein E antibody [1H4].
Green : Apolipoprotein E
Purple : negative control
ELISA analysis of antigen using GTX60446 Apolipoprotein E antibody [1H4].
Red : Control antigen 100ng
Purple : Antigen 10ng
Green : Antigen 50ng
Blue : Antigen 100ng
WB analysis of HEK293 (1) and ApoE (AA: 20-267)-hIgGFc transfected HEK293 (2) cell lysate using GTX60446 Apolipoprotein E antibody [1H4].
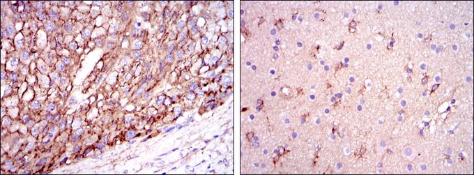
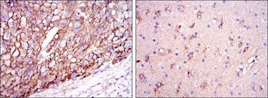
IHC-P analysis of liver cancer tissue (left) and brain tissue (right) using GTX60446 Apolipoprotein E antibody [1H4].
风险提示:丁香通仅作为第三方平台,为商家信息发布提供平台空间。用户咨询产品时请注意保护个人信息及财产安全,合理判断,谨慎选购商品,商家和用户对交易行为负责。对于医疗器械类产品,请先查证核实企业经营资质和医疗器械产品注册证情况。
文献和实验Sarhan MA et al., Sci Rep 2017 (PMID:28566716)
Genotyping of Apolipoprotein E
Apolipoprotein E (apo E) is a 299-amino acid plasma protein involved in cholesterol transport and is found in chylomicrons, very low density lipopro-tein, intermediate-density lipoprotein, and high-density lipoprotein (1 ,1 ).
Apolipoprotein E Expression and Purification
Since the discovery of the association of apolipoprotein E (apoE) 4 with Alzheimer’s disease 17 years ago, numerous in vitro experiments with the apoE isoforms (apoE2, apoE3, and apoE4) have been performed to try to understand the basis
Purification of Rat Hepatic Lipase Essentially Free of Apolipoprotein E and Apolipoprotein B
Hepatic lipase (HL) is necessary for efficient clearance of triglyceride-rich lipoproteins from plasma (1 ). In humans, HL deficiency leads to the accumulation of triglyceride-rich intermediate density lipoproteins (IDL), LDL, and large HDL
技术资料暂无技术资料 索取技术资料







![ARHGAP1 antibody [N1N3]](https://img1.dxycdn.com/2022/0328/729/1602310636704200453-14.jpg!wh200)
![Valyl tRNA synthetase antibody [N1N2], N-term](https://img1.dxycdn.com/2022/0328/415/8393341278080300453-14.jpg!wh200)
![CD69 antibody [FN50] (PerCP)](https://img1.dxycdn.com/2022/0328/051/0163486232206500453-14.jpg!wh200)

