相关产品推荐更多 >
万千商家帮你免费找货
0 人在求购买到急需产品
- 详细信息
- 文献和实验
- 技术资料
- 免疫原:
Purified recombinant fragment of human HSP27 expressed in E. Coli.
- 亚型:
IgG1
- 形态:
Liquid
- 保存条件:
Store as concentrated solution. Centrifuge briefly prior to opening vial. For short-term storage (1-2 weeks), store at 4ºC. For long-term storage, aliquot and store at -20ºC or below. Avoid multiple freeze-thaw cycles.
- 克隆性:
Monoclonal
- 标记物:
Unconjugated
- 适应物种:
Human, Rat
- 保质期:
12 months from the shipping date of the product.
- 抗原来源:
Human
- 目录编号:
GTX60444
- 级别:
Primary Antibodies
- 库存:
Available
- 供应商:
GeneTex
- 宿主:
Mouse
- 应用范围:
WB, ICC/IF, IHC-P, FACS, ELISA
- 靶点:
HSP27
- 抗体英文名:
HSP27 antibody [5D7]
- 抗体名:
HSP27 抗体 [5D7]
- 规格:
100 μl
WB analysis of HeLa (1), A549 (2), Jurkat (3), A431 (4), HEK293(5), HepG2 (6) and PC-12 (7) cell lysate using GTX60444 HSP27 antibody [5D7].
ELISA analysis of antigen using GTX60444 HSP27 antibody [5D7].
Red : Control antigen 100ng
Purple : Antigen 10ng
Green : Antigen 50ng
Blue : Antigen 100ng
FACS analysis of HepG2 cells using GTX60444 HSP27 antibody [5D7].
Green : HSP27
Purple : negative control
ICC/IF analysis of HeLa cells using GTX60444 HSP27 antibody [5D7].
Green : HSP27
Blue: DRAQ5 fluorescent DNA dye
Red: Actin filaments
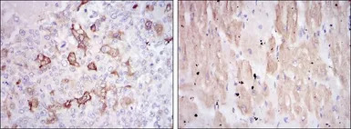
IHC-P analysis of breast cancer tissue (left) and cardiac muscle tissue (right) using GTX60444 HSP27 antibody [5D7].
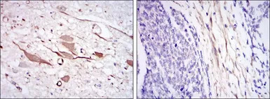
IHC-P analysis of human brain tissue (left) and esophageal cancer tissue (right) using GTX60444 HSP27 antibody [5D7].
风险提示:丁香通仅作为第三方平台,为商家信息发布提供平台空间。用户咨询产品时请注意保护个人信息及财产安全,合理判断,谨慎选购商品,商家和用户对交易行为负责。对于医疗器械类产品,请先查证核实企业经营资质和医疗器械产品注册证情况。
文献和实验上海西唐生物科技有限公司 021-55229872, 65333639 www.westang.com 人热休克蛋白27 ( HSP27 )ELISA 试剂盒 原理 本实验采用双抗体夹心 ABC-ELISA 法。用抗人 HSP27 单抗包被于酶标板上,标准品和样品中的 HSP27与单抗结合,加入生物素化的抗人 HSP27 ,形成免疫复合物连接在板上,辣根
(1 ). In our laboratory, we have developed methods to immortalize specific antibody-producing cells by fusing secreting EBV-activated lymphocytes to mouse-human heteromyeloma cell lines with electrofusion, followed by cloning (2 ). This methodology has allowed
我的石蜡切片又「团灭」了!没关系,专业技术人员与您并肩推塔!
Antibody Diluent #8112 稀释PD-L2抗体(#82723)稀释度为1:200。11. 横沥封闭液,用卫生纸尽量吸干封闭液后,将一抗滴加在切片上。(此步建议一张张完成,防止干片)12. 将湿盒小心移入4度冰箱,过夜。CST技术人员正在配置和滴加抗体二抗孵育与显色13. 小心取出湿盒,在室温平衡45分钟左右。14. 洗涤:切片浸没于TBST中,3 ×5 min。15. 将二抗SignalStain® Boost IHC Detection Reagent (HRP, Rabbit)#8114
技术资料暂无技术资料 索取技术资料











