相关产品推荐更多 >
万千商家帮你免费找货
0 人在求购买到急需产品
- 详细信息
- 文献和实验
- 技术资料
- 免疫原:
Purified recombinant fragment of human NR3C1 expressed in E. Coli.
- 亚型:
IgG1
- 形态:
Liquid
- 保存条件:
Store as concentrated solution. Centrifuge briefly prior to opening vial. For short-term storage (1-2 weeks), store at 4ºC. For long-term storage, aliquot and store at -20ºC or below. Avoid multiple freeze-thaw cycles.
- 克隆性:
Monoclonal
- 标记物:
Unconjugated
- 适应物种:
Human
- 保质期:
12 months from the shipping date of the product.
- 抗原来源:
Human
- 目录编号:
GTX60389
- 级别:
Primary Antibodies
- 库存:
Available
- 供应商:
GeneTex
- 宿主:
Mouse
- 应用范围:
WB, ICC/IF, IHC-P, FACS, ELISA
- 靶点:
Glucocorticoid Receptor
- 抗体英文名:
Glucocorticoid Receptor antibody [6E6]
- 抗体名:
Glucocorticoid Receptor 抗体 [6E6]
- 规格:
100 μl
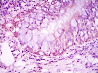
IHC-P analysis of lung cancer tissue using GTX60389 Glucocorticoid Receptor antibody [6E6].
FACS analysis of K562 cells using GTX60389 Glucocorticoid Receptor antibody [6E6].
Green : Glucocorticoid Receptor
Purple : negative control
WB analysis of HeLa cell lysate using GTX60389 Glucocorticoid Receptor antibody [6E6].
ICC/IF analysis of PC-2 cells using GTX60389 Glucocorticoid Receptor antibody [6E6].
Green : Glucocorticoid Receptor
Blue: DRAQ5 fluorescent DNA dye
Red: Actin filaments
ELISA analysis of antigen using GTX60389 Glucocorticoid Receptor antibody [6E6].
Red : Control antigen 100ng
Purple : Antigen 10ng
Green : Antigen 50ng
Blue : Antigen 100ng
风险提示:丁香通仅作为第三方平台,为商家信息发布提供平台空间。用户咨询产品时请注意保护个人信息及财产安全,合理判断,谨慎选购商品,商家和用户对交易行为负责。对于医疗器械类产品,请先查证核实企业经营资质和医疗器械产品注册证情况。
文献和实验Chemical Mutational Analysis of Glucocorticoid Receptor
This chapter describes a chemical method for mutational analysis of the human glucocorticoid receptor (hGR) cDNA. Corticosteroid-resistant (CR) asthma is associated with in vitro and in vivo defects in mononuclear cell function
High-Yield Purification of Functionally Active Glucocorticoid Receptor
The glucocorticoid receptor (GR) resides in the cytoplasm as a complex with chaperones. Upon ligand association, GR shuttles into the nucleus, and binds to its hormone response elements to control expression of particular genes
by the human glucocorticoid receptor α (hGRα), a ligand-dependent transcription factor ubiquitously expressed in almost all tissues and cells. The molecular mechanisms of hGRα action involve (a) binding to glucocorticoids, (b) cytoplasmic to nuclear
技术资料暂无技术资料 索取技术资料










