相关产品推荐更多 >
万千商家帮你免费找货
0 人在求购买到急需产品
- 详细信息
- 文献和实验
- 技术资料
- 免疫原:
Full length human alpha fetoprotein / AFP
- 亚型:
IgG
- 形态:
Liquid
- 保存条件:
Store as concentrated solution. Centrifuge briefly prior to opening vial. For short-term storage (1-2 weeks), store at 4ºC. For long-term storage, aliquot and store at -20ºC or below. Avoid multiple freeze-thaw cycles.
- 克隆性:
Monoclonal
- 标记物:
Unconjugated
- 适应物种:
Human, Rat
- 保质期:
12 months from the shipping date of the product.
- 抗原来源:
Human
- 目录编号:
GTX60214
- 级别:
Primary Antibodies
- 库存:
Available
- 供应商:
GeneTex
- 宿主:
Mouse
- 应用范围:
WB, IHC-P, ELISA
- 浓度:
1 mg/ml (Please refer to the vial label for the specific concentration.)
- 靶点:
Alpha fetoprotein / AFP
- 抗体英文名:
Alpha fetoprotein / AFP antibody [A2]
- 抗体名:
Alpha fetoprotein / AFP 抗体 [A2]
- 规格:
100 μl
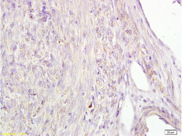
IHC-P analysis of human cervical carcinoma tissue using GTX60214 Alpha fetoprotein / AFP antibody [A2].
Dilution : 1:100
WB analysis of various samples using GTX60214 Alpha fetoprotein / AFP antibody [A2].
Dilution : 1:200
Lane 1 : rat brain lysates
Lane 2 : rat kidney lysates
风险提示:丁香通仅作为第三方平台,为商家信息发布提供平台空间。用户咨询产品时请注意保护个人信息及财产安全,合理判断,谨慎选购商品,商家和用户对交易行为负责。对于医疗器械类产品,请先查证核实企业经营资质和医疗器械产品注册证情况。
文献和实验癌、卵巢肿瘤、恶性畸胎瘤、胰腺癌、肠癌、肺癌等患者。 产甲胎蛋白的胃癌 (alpha-fetoprotein-producing gastric carcinoma, AFPGC) 是一种相对少见的胃癌 (GC),最早由 Bourreille 等人 [6] 于 1970 年提出,高 AFP 水平的胃癌被称为 AFPGC [7]。AFPGC 约占 GC 的 2.7~8%[8],也有报道占 GC 的 5.1%~15%[9]。AFPGC 是指经过病理或组织学检查确诊,伴有血清 AFP 升高,并可以排除肝炎
In situ hybridisation to alpha satellite sequences (chromosome specific)
Alpha satellite sequences, whilst highly repetitive, are specific to each individual chromosome. These sequences flank the centromeres and can present a target measured in megabases. In this protocol a biotin or digoxigenin labelled DNA
北京大学和海南医学院联合对肝癌细胞特异性标志物甲胎蛋白(AFP)进行长时间的研究,发现AFP具有抑制PTEN的生物学功能,导致肝癌细胞耐受全反式维甲酸诱导的凋亡,这是AFP新功能的发现。近日以题为“Alpha-fetoprotein: a new member of intracellular signal molecules in regulation of the PI3K/AKT signaling in human hepatoma
技术资料暂无技术资料 索取技术资料





![CD38 antibody [SPC32]](https://img1.dxycdn.com/2022/0328/195/9350250122818700453-14.jpg!wh200)
![CD42b antibody [AK2]](https://img1.dxycdn.com/2022/0329/681/9015048351156020453-14.jpg!wh200)

![Rb antibody [HL2465]](https://custom.dxycdn.com/trademd/upload/pic/2013/11/12/A1383891150.jpg!small.t.1)

