相关产品推荐更多 >
万千商家帮你免费找货
0 人在求购买到急需产品
- 详细信息
- 询价记录
- 文献和实验
- 技术资料
- 免疫原:
Recombinant fusion protein containing a sequence corresponding to amino acids 366-605 of human NFE2L2 (NP_006155.2).
- 亚型:
IgG
- 形态:
Liquid
- 保存条件:
Store as concentrated solution. Centrifuge briefly prior to opening vial. For short-term storage (1-2 weeks), store at 4ºC. For long-term storage, aliquot and store at -20ºC or below. Avoid multiple freeze-thaw cycles.
- 克隆性:
Polyclonal
- 标记物:
Unconjugated
- 适应物种:
Human, Mouse, Rat
- 保质期:
12 months from the shipping date of the product.
- 抗原来源:
Human
- 目录编号:
GTX55732
- 级别:
Primary Antibodies
- 库存:
Available
- 供应商:
GeneTex
- 宿主:
Rabbit
- 应用范围:
WB, ICC/IF, IHC-P, IP
- 浓度:
Batch dependent (Please refer to the vial label for the specific concentration.)
- 靶点:
NRF2
- 抗体英文名:
NRF2 antibody
- 抗体名:
NRF2 抗体
- 规格:
100 μl
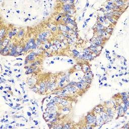
IHC-P analysis of human colon carcinoma tissue using GTX55732 NRF2 antibody.
Dilution : 1:100
ICC/IF analysis of BALB-3T3 cells using GTX55732 NRF2 antibody.
Blue : DAPI
Dilution : 1:100
ICC/IF analysis of C6 cells using GTX55732 NRF2 antibody.
Blue : DAPI
Dilution : 1:100
IP analysis of A549 cell lysate using GTX55732 NRF2 antibody.
Antibody amount : 3μg / 200μg lysate
Dilution : 1:1000
WB analysis of A549 cell lysate using GTX55732 NRF2 antibody.
Dilution : 1:1000
Loading : 25μg per lane
ICC/IF analysis of U2OS cells using GTX55732 NRF2 antibody.
Blue : DAPI
Dilution : 1:100
风险提示:丁香通仅作为第三方平台,为商家信息发布提供平台空间。用户咨询产品时请注意保护个人信息及财产安全,合理判断,谨慎选购商品,商家和用户对交易行为负责。对于医疗器械类产品,请先查证核实企业经营资质和医疗器械产品注册证情况。
- 作者
- 内容
- 询问日期
文献和实验Chuang CY et al., Int J Mol Sci 2022 (PMID:35806120)
Oliva Ch?vez AS et al., Nat Commun 2021 (PMID:34140472)
Chen WC et al., Virulence 2018 (PMID:29338543)
Role of Nrf2-Dependent ARE-Driven Antioxidant Pathway in Neuroprotection
The promoter regions of many detoxification enzymes contain a cis -acting enhancer known as the antioxidant response element (ARE). NF-E2-related factor 2 (Nrf2) is considered as one of the major transcription factors
Nrf2-Target Approaches in Cancer Chemoprevention Mediated by Dietary Phytochemicals
acting by activating the transcriptional factor, nuclear factor-erythroid 2-related factor 2 (Nrf2 or NFE2L2), a basic-region leucine zipper (bZIP) transcription factor that regulates the expression of many phase II detoxifying/antioxidant enzymes
Examining the Endogenous Antioxidant Response Through Immunofluorescent Analysis of Nrf2 in Tissue
conserved mechanism for preventing oxidative stress. NF-E2 (nuclear factor (erythroid-derived 2))-related factor-2 (Nrf2) is the primary regulator of this endogenous antioxidant response. Many diseases that plague human society, ranging from various cancers
技术资料暂无技术资料 索取技术资料








![nm23-H1 antibody [N1C3]](https://img1.dxycdn.com/2022/0328/976/7911363766259200453-14.jpg!wh200)
![PSMA antibody [1D6]](https://img1.dxycdn.com/2022/0328/110/7601328275287700453-14.jpg!wh200)

