相关产品推荐更多 >
万千商家帮你免费找货
0 人在求购买到急需产品
- 详细信息
- 文献和实验
- 技术资料
- 免疫原:
A synthetic methylated peptide corresponding to residues surrounding K4 of human histone H3
- 亚型:
IgG
- 形态:
Liquid
- 保存条件:
Store as concentrated solution. Centrifuge briefly prior to opening vial. For short-term storage (1-2 weeks), store at 4ºC. For long-term storage, aliquot and store at -20ºC or below. Avoid multiple freeze-thaw cycles.
- 克隆性:
Polyclonal
- 标记物:
Unconjugated
- 适应物种:
Human, Mouse, Rat
- 保质期:
12 months from the shipping date of the product.
- 抗原来源:
Human
- 目录编号:
GTX55660
- 级别:
Primary Antibodies
- 库存:
Available
- 供应商:
GeneTex
- 宿主:
Rabbit
- 应用范围:
WB, ICC/IF, IHC-P, Dot, ChIP assay
- 浓度:
Batch dependent (Please refer to the vial label for the specific concentration.)
- 靶点:
Histone H3K4me2 (di-methyl Lys4)
- 抗体英文名:
Histone H3K4me2 (di-methyl Lys4) antibody
- 抗体名:
Histone H3K4me2 (di-methyl Lys4) 抗体
- 规格:
100 μl
WB analysis of various sample lysates using GTX55660 Histone H3K4me2 (di-methyl Lys4) antibody.
Loading : 25μg per lane
ICC/IF analysis of 293T cells using GTX55660 Histone H3K4me2 (di-methyl Lys4) antibody.
Blue : DAPI
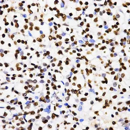
IHC-P analysis of human kidney cancer tissue using GTX55660 Histone H3K4me2 (di-methyl Lys4) antibody.
Dilution : 1:200
ICC/IF analysis of HeLa cells using GTX55660 Histone H3K4me2 (di-methyl Lys4) antibody.
Blue : DAPI
Dilution : 1:100
Dot blot analysis of all sorts of methylation peptides using GTX55660 Histone H3K4me2 (di-methyl Lys4) antibody.
IHC-P analysis of mouse lung tissue using GTX55660 Histone H3K4me2 (di-methyl Lys4) antibody.
Dilution : 1:100
ChIP analysis of 293 cell lysate using GTX55660 Histone H3K4me2 (di-methyl Lys4) antibody. The amount of immunoprecipitated DNA was checked by quantitative PCR. Histogram was constructed by the ratios of the immunoprecipitated DNA to the input.
WB analysis of various sample lysates using GTX55660 Histone H3K4me2 (di-methyl Lys4) antibody.
Dilution : 1:1000
Loading : 25μg per lane
IHC-P analysis of rat brain tissue using GTX55660 Histone H3K4me2 (di-methyl Lys4) antibody.
Dilution : 1:100
风险提示:丁香通仅作为第三方平台,为商家信息发布提供平台空间。用户咨询产品时请注意保护个人信息及财产安全,合理判断,谨慎选购商品,商家和用户对交易行为负责。对于医疗器械类产品,请先查证核实企业经营资质和医疗器械产品注册证情况。
文献和实验Methyl DNA Immunoprecipitation
can be done. This methylation analysis is highly specific due to the use of a well-characterized monoclonal antibody and each IP is directly quality controlled: two essential keys for reliable results. In addition, the kit protocol is fast and user-friendly. The METHYL kit
Histone lysine and arginine methylation involved in gene activation and silencing is dynamically regulated. However, partly limited to the research technologies previously available, the dynamics of global histone methylation on a site
In Vitro Histone Demethylase Assays
methyltransferases and the histone demethylases. Two families of histone demethylases have been identified to remove methyl groups from lysine side chain through different reaction mechanisms in presence of distinct cofactors. Amine oxidase LSD1 family requires
技术资料暂无技术资料 索取技术资料





![Hec1 antibody [EPR5342]](https://img1.dxycdn.com/2022/0329/442/4028444355406020453-14.jpg!wh200)

![FKBP4 antibody [AT4D3]](https://img1.dxycdn.com/2022/0328/947/7919249006010500453-14.jpg!wh200)



