相关产品推荐更多 >
万千商家帮你免费找货
0 人在求购买到急需产品
- 详细信息
- 文献和实验
- 技术资料
- 免疫原:
Peptide sequence around phosphorylation site of threonine 125 (P-E-T(p)-P-R) derived from human Caspase 9.
- 亚型:
IgG
- 形态:
Liquid
- 保存条件:
Store as concentrated solution. Centrifuge briefly prior to opening vial. For short-term storage (1-2 weeks), store at 4ºC. For long-term storage, aliquot and store at -20ºC or below. Avoid multiple freeze-thaw cycles.
- 克隆性:
Polyclonal
- 标记物:
Unconjugated
- 适应物种:
Human
- 保质期:
12 months from the shipping date of the product.
- 抗原来源:
Human
- 目录编号:
GTX55305
- 级别:
Primary Antibodies
- 库存:
Available
- 供应商:
GeneTex
- 宿主:
Rabbit
- 应用范围:
WB, IHC-P
- 浓度:
1 mg/ml (Please refer to the vial label for the specific concentration.)
- 靶点:
Caspase 9 (phospho Thr125)
- 抗体英文名:
Caspase 9 (phospho Thr125) antibody
- 抗体名:
Caspase 9 (phospho Thr125) 抗体
- 规格:
100 μl
WB analysis of extracts from HeLa cells treated with TNF using GTX55305 Caspase 9 (phospho Thr125) antibody.
Left : Primary antibody
Right : Primary antibody pre-incubated with the antigen specific peptide
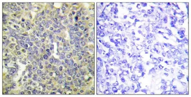
IHC-P analysis of human lung carcinoma tissue using GTX55305 Caspase 9 (phospho Thr125) antibody.
Left : Primary antibody
Right : Primary antibody pre-incubated with the antigen specific peptide
风险提示:丁香通仅作为第三方平台,为商家信息发布提供平台空间。用户咨询产品时请注意保护个人信息及财产安全,合理判断,谨慎选购商品,商家和用户对交易行为负责。对于医疗器械类产品,请先查证核实企业经营资质和医疗器械产品注册证情况。
文献和实验或 C6 cells 作为 cleaved caspase-3 的阳性参照。更多靶点的阳性对照,请登陆CST网站——研究——靶标的阳性对照处理。图二 蛋白质印迹分析(图源自CST Caspase-3 Antibody #9662 抗体说明书)为什么所有的实验都要设置对照?无论是初高中刚接触生物学实验设计还是上研究生后发表 SCI 文章,老师们以及 reviewer 都会敲着「黑板」强调强调再强调,每一个实验都必须有对照!因为设置适当的阴性、阳性甚至空白对照对于实验结果的准确、有效阐释至关重要!阅历丰富
【求助】请问western blot做凋亡检测时,识别caspase-3酶原和激活的caspase-3的抗体是相同的吗?
-caspase-3(#9664)和原形态的caspase-3(#9662),但是需要说明的是,原形态的caspase-3抗体也可以同时检测剪切态的caspase-3,所以建议购买原形态的caspase-3就行了。 (如下图所示) 另外,PARP也是购买全长的就行了,(PARP Antibody #9542)。 lsdcfhyj 谢谢两位的回答 本文由丁香园论坛提供,想了解更多有用的、有意思的前沿资讯以及酷炫的实验
Using Phospho‐Motif Antibodies to Determine Kinase Substrates
comprising both the phosphorylated residue and the surrounding residues that determine kinase specificity, with degenerate residues taking up the remaining positions. Currently, several categories of phospho?motif antibody are commercially available
技术资料暂无技术资料 索取技术资料







![pan Cytokeratin antibody [C-11] (PE)](https://img1.dxycdn.com/2022/0328/065/7871988030806500453-14.jpg!wh200)


