相关产品推荐更多 >
万千商家帮你免费找货
0 人在求购买到急需产品
- 详细信息
- 文献和实验
- 技术资料
- 免疫原:
KLH-conjugated synthetic peptide encompassing a sequence within the center region of Latrophilin 2. The exact sequence is proprietary.
- 亚型:
IgG
- 形态:
Liquid
- 保存条件:
Store as concentrated solution. Centrifuge briefly prior to opening vial. For short-term storage (1-2 weeks), store at 4ºC. For long-term storage, aliquot and store at -20ºC or below. Avoid multiple freeze-thaw cycles.
- 克隆性:
Polyclonal
- 标记物:
Unconjugated
- 适应物种:
Human, Mouse, Rat
- 保质期:
12 months from the shipping date of the product.
- 抗原来源:
Human
- 目录编号:
GTX55247
- 级别:
Primary Antibodies
- 库存:
Available
- 供应商:
GeneTex
- 宿主:
Rabbit
- 应用范围:
WB, IHC-P
- 浓度:
Batch dependent (Please refer to the vial label for the specific concentration.)
- 靶点:
Latrophilin 2
- 抗体英文名:
Latrophilin 2 antibody
- 抗体名:
Latrophilin 2 抗体
- 规格:
100 μl
WB analysis of HEK293T (A), Raw264.7 (B), PC12 (C) whole cell lysates using GTX55247 Latrophilin 2 antibody.
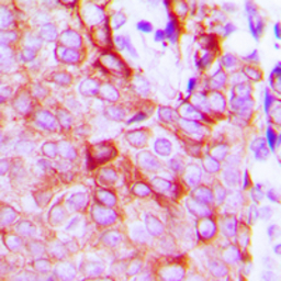
IHC-P analysis of formalin fixed human breast cancer tissue section using GTX55247 Latrophilin 2 antibody.
Antigen retrieval : Heat mediated antigen retrieval with sodium citrate buffer (pH 6.0)
风险提示:丁香通仅作为第三方平台,为商家信息发布提供平台空间。用户咨询产品时请注意保护个人信息及财产安全,合理判断,谨慎选购商品,商家和用户对交易行为负责。对于医疗器械类产品,请先查证核实企业经营资质和医疗器械产品注册证情况。
文献和实验三句话读懂一篇 CNS:男性的大脑和睾丸相似;父亲熬夜,影响后代健康...
the precise assembly of parallelhippocampal networks。该研究在小鼠模型中,内侧和外侧海马环路中细胞表面分子 teneurin-3 和 latrophilin-2 的互补表达,能够分别指导 CA1 至下托(subiculum)连接的精确环路组装。图 3:来源 Science 4. Cancer Discovery:揭示滑膜肉瘤形成新机制 滑膜肉瘤多发于青少年时期。 2021 年 6 月 2 日,美国犹他大学 Kevin B. Jones 教授团队等在 Cancer
技术资料暂无技术资料 索取技术资料





![CRK antibody [3H7-E5-H8]](https://img1.dxycdn.com/2022/0329/880/5725870549784020453-14.jpg!wh200)
![RAD9A antibody [3A3-A7-F8]](https://img1.dxycdn.com/2022/0329/480/3766468500384020453-14.jpg!wh200)




