相关产品推荐更多 >
万千商家帮你免费找货
0 人在求购买到急需产品
- 详细信息
- 文献和实验
- 技术资料
- 免疫原:
KLH-conjugated synthetic peptide encompassing a sequence within the center region of Caspase 8. The exact sequence is proprietary.
- 亚型:
IgG
- 形态:
Liquid
- 保存条件:
Store as concentrated solution. Centrifuge briefly prior to opening vial. For short-term storage (1-2 weeks), store at 4ºC. For long-term storage, aliquot and store at -20ºC or below. Avoid multiple freeze-thaw cycles.
- 克隆性:
Polyclonal
- 标记物:
Unconjugated
- 适应物种:
Human
- 保质期:
12 months from the shipping date of the product.
- 抗原来源:
Human
- 目录编号:
GTX55080
- 级别:
Primary Antibodies
- 库存:
Available
- 供应商:
GeneTex
- 宿主:
Rabbit
- 应用范围:
WB, IHC-P
- 浓度:
Batch dependent (Please refer to the vial label for the specific concentration.)
- 靶点:
Caspase 8 (phospho Ser347)
- 抗体英文名:
Caspase 8 (phospho Ser347) antibody
- 抗体名:
Caspase 8 (phospho Ser347) 抗体
- 规格:
100 μl
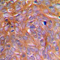
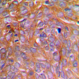
IHC-P analysis of formalin fixed human breast cancer tissue section using GTX55080 Caspase 8 (phospho Ser347) antibody.
Antigen retrieval : Heat mediated antigen retrieval with sodium citrate buffer (pH 6.0)
WB analysis of PMA-treated Jurkat (A) whole cell lysates using GTX55080 Caspase 8 (phospho Ser347) antibody.
风险提示:丁香通仅作为第三方平台,为商家信息发布提供平台空间。用户咨询产品时请注意保护个人信息及财产安全,合理判断,谨慎选购商品,商家和用户对交易行为负责。对于医疗器械类产品,请先查证核实企业经营资质和医疗器械产品注册证情况。
文献和实验[3] 。但据报道,MCF-7 人乳腺癌细胞系中,因在 CASP-3 基因 exon 3 中存在 47bp 的缺失而不表达 caspase 3 蛋白[4] 。前体形式的 caspase-3 由一个前端功能区(prodomain)和一大一小两个催化亚单位构成。在特定的刺激比如配体受体互作、生长因子匮乏和细胞功能抑制剂等的作用下,未活化的酶原形式的 caspase-3 在 Asp-28/Ser-29(N 端功能前区)以及 Asp-175/Ser-176(大小亚基之间)被剪切活化,转变为活化的 p17 大亚
【求助】请问western blot做凋亡检测时,识别caspase-3酶原和激活的caspase-3的抗体是相同的吗?
-caspase-3(#9664)和原形态的caspase-3(#9662),但是需要说明的是,原形态的caspase-3抗体也可以同时检测剪切态的caspase-3,所以建议购买原形态的caspase-3就行了。 (如下图所示) 另外,PARP也是购买全长的就行了,(PARP Antibody #9542)。 lsdcfhyj 谢谢两位的回答 本文由丁香园论坛提供,想了解更多有用的、有意思的前沿资讯以及酷炫的实验
Using Phospho‐Motif Antibodies to Determine Kinase Substrates
comprising both the phosphorylated residue and the surrounding residues that determine kinase specificity, with degenerate residues taking up the remaining positions. Currently, several categories of phospho?motif antibody are commercially available
技术资料暂无技术资料 索取技术资料









![DAG1 / beta Dystroglycan antibody [GT9112]](https://img1.dxycdn.com/2022/0329/893/3490474245138020453-14.jpg!wh200)
