相关产品推荐更多 >
万千商家帮你免费找货
0 人在求购买到急需产品
- 详细信息
- 文献和实验
- 技术资料
- 免疫原:
KLH-conjugated synthetic peptide encompassing a sequence within the C-term region of alpha Synuclein. The exact sequence is proprietary.
- 亚型:
IgG
- 形态:
Liquid
- 保存条件:
Store as concentrated solution. Centrifuge briefly prior to opening vial. For short-term storage (1-2 weeks), store at 4ºC. For long-term storage, aliquot and store at -20ºC or below. Avoid multiple freeze-thaw cycles.
- 克隆性:
Polyclonal
- 标记物:
Unconjugated
- 适应物种:
Human, Mouse, Rat
- 保质期:
12 months from the shipping date of the product.
- 抗原来源:
Human
- 目录编号:
GTX54991
- 级别:
Primary Antibodies
- 库存:
Available
- 供应商:
GeneTex
- 宿主:
Rabbit
- 应用范围:
WB, ICC/IF, IHC-P
- 浓度:
Batch dependent (Please refer to the vial label for the specific concentration.)
- 靶点:
alpha Synuclein (phospho Ser129)
- 抗体英文名:
alpha Synuclein (phospho Ser129) antibody
- 抗体名:
alpha Synuclein (phospho Ser129) 抗体
- 规格:
100 μl
ICC/IF analysis of formalin-fixed HEK293T cells using GTX54991 alpha Synuclein (phospho Ser129) antibody.
Red : Primary antibody
Blue : DAPI
Permeabilization : 0.1% Triton X-100 in TBS for 5-10 minutes
WB analysis of HEK293T (A), mouse brain (B) whole cell lysates using GTX54991 alpha Synuclein (phospho Ser129) antibody.
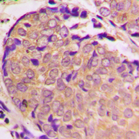
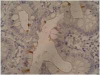
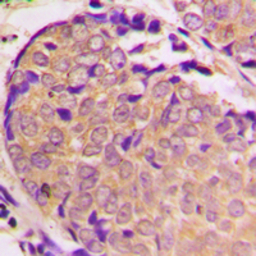
IHC-P analysis of formalin fixed human prostate cancer tissue section using GTX54991 alpha Synuclein (phospho Ser129) antibody.
Antigen retrieval : Heat mediated antigen retrieval with sodium citrate buffer (pH 6.0)
风险提示:丁香通仅作为第三方平台,为商家信息发布提供平台空间。用户咨询产品时请注意保护个人信息及财产安全,合理判断,谨慎选购商品,商家和用户对交易行为负责。对于医疗器械类产品,请先查证核实企业经营资质和医疗器械产品注册证情况。
文献和实验Grassi D et al., Neurobiol Dis 2018 (PMID:30472299)
Yamamoto S et al., Front Immunol 2022 (PMID:35911740)
Wang J et al., Behav Brain Res 2020 (PMID:32592738)
Tan Y et al., Front Pharmacol 2020 (PMID:32180729)
Han C et al., J Mol Med (Berl) 2019 (PMID:31302715)
技术资料暂无技术资料 索取技术资料





![CD200 antibody [OX-90] (PE)](https://img1.dxycdn.com/2022/0329/232/7743897088326020453-14.jpg!wh200)
![CA19-9 antibody [121SLE]](https://img1.dxycdn.com/2022/0328/221/4482972259649300453-14.jpg!wh200)

![CTLA4 antibody [BNI3] (PE)](https://img1.dxycdn.com/2022/0328/439/7416896498996700453-14.jpg!wh200)

