相关产品推荐更多 >
万千商家帮你免费找货
0 人在求购买到急需产品
- 详细信息
- 文献和实验
- 技术资料
- 免疫原:
Recombinant fusion protein containing a sequence corresponding to amino acids 1-351 of human PRKACB (NP_002722.1).
- 亚型:
IgG
- 形态:
Liquid
- 保存条件:
Store as concentrated solution. Centrifuge briefly prior to opening vial. For short-term storage (1-2 weeks), store at 4ºC. For long-term storage, aliquot and store at -20ºC or below. Avoid multiple freeze-thaw cycles.
- 克隆性:
Polyclonal
- 标记物:
Unconjugated
- 适应物种:
Human, Mouse, Rat
- 保质期:
12 months from the shipping date of the product.
- 抗原来源:
Human
- 目录编号:
GTX54564
- 级别:
Primary Antibodies
- 库存:
Available
- 供应商:
GeneTex
- 宿主:
Rabbit
- 应用范围:
WB, ICC/IF, IHC-P
- 浓度:
Batch dependent (Please refer to the vial label for the specific concentration.)
- 靶点:
PKA beta (catalytic subunit)
- 抗体英文名:
PKA beta (catalytic subunit) antibody
- 抗体名:
PKA beta (catalytic subunit) 抗体
- 规格:
100 μl
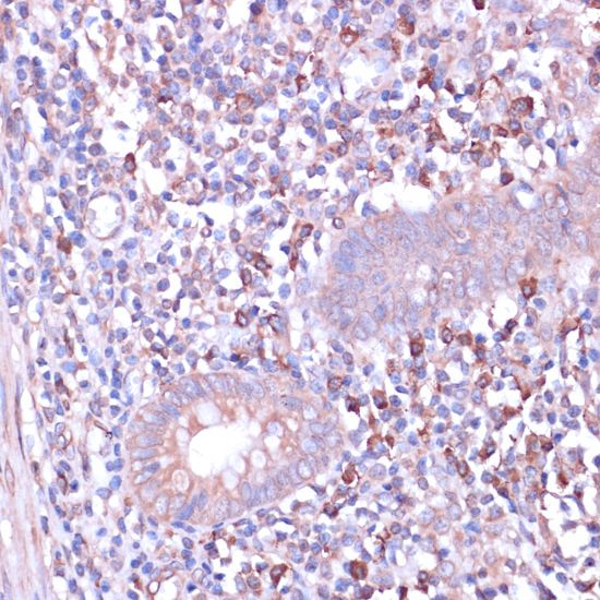
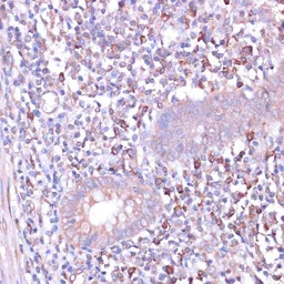
IHC-P analysis of human appendix tissue using GTX54564 PKA beta (catalytic subunit) antibody.
Dilution : 1:100
WB analysis of SW480 cell lysate using GTX54564 PKA beta (catalytic subunit) antibody.
Dilution : 1:1000
Loading : 25μg per lane
WB analysis of various sample lysates using GTX54564 PKA beta (catalytic subunit) antibody.
Dilution : 1:1000
Loading : 25μg per lane
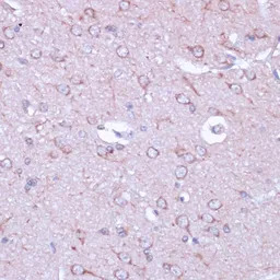
IHC-P analysis of rat brain tissue using GTX54564 PKA beta (catalytic subunit) antibody.
Dilution : 1:100
ICC/IF analysis of NIH/3T3 cells using GTX54564 PKA beta (catalytic subunit) antibody.
Blue : DAPI
Dilution : 1:100
风险提示:丁香通仅作为第三方平台,为商家信息发布提供平台空间。用户咨询产品时请注意保护个人信息及财产安全,合理判断,谨慎选购商品,商家和用户对交易行为负责。对于医疗器械类产品,请先查证核实企业经营资质和医疗器械产品注册证情况。
文献和实验Anticardiolipin Antibody and Anti-beta 2 Glycoprotein I Antibody Assays
) antibodies and anti-beta 2 glycoprotein I (β2-GPI) antibodies. Other autoantibodies, such as those directed against anionic phospholipids, can also be assayed; however they are not of clinical significance. Participation in a quality assurance
Human chorionic gonadotropin (hCG) has been considered as a primary target molecule for a contraceptive vaccine by the World Health Organization because of its physiological and temporal specificity. hCG is an essential factor
又称依赖于cAMP的蛋白激酶A (cyclic-AMP dependent protein kinase A),是一种结构最简单、生化特性最清楚的蛋白激酶。 PKA全酶分子是由四个亚基组成的四聚体, 其中两个是调节亚基(regulatory subunit, 简称R 亚基),另两个是催化亚基(catalytic subunit, 简称 C 亚基)。R亚基的相对分子质量为49~55kDa, C亚基的相对分子质量为40kDa,总相对分子质量约为180kDa;全酶没有
技术资料暂无技术资料 索取技术资料







![Ret antibody [8D10C9]](https://img1.dxycdn.com/2022/0328/597/2324016669347500453-14.jpg!wh200)



