相关产品推荐更多 >
万千商家帮你免费找货
0 人在求购买到急需产品
- 详细信息
- 文献和实验
- 技术资料
- 免疫原:
Recombinant fusion protein containing a sequence corresponding to amino acids 244-503 of human CYP3A4 (NP_059488.2).
- 亚型:
IgG
- 形态:
Liquid
- 保存条件:
Store as concentrated solution. Centrifuge briefly prior to opening vial. Store at 4ºC.
- 克隆性:
Polyclonal
- 标记物:
Unconjugated
- 适应物种:
Human, Mouse, Rat
- 保质期:
12 months from the shipping date of the product.
- 抗原来源:
Human
- 目录编号:
GTX53947
- 级别:
Primary Antibodies
- 库存:
Available
- 供应商:
GeneTex
- 宿主:
Rabbit
- 应用范围:
WB, ICC/IF, IHC-P
- 浓度:
Batch dependent (Please refer to the vial label for the specific concentration.)
- 靶点:
CYP3A4
- 抗体英文名:
CYP3A4 antibody
- 抗体名:
CYP3A4 抗体
- 规格:
100 μl
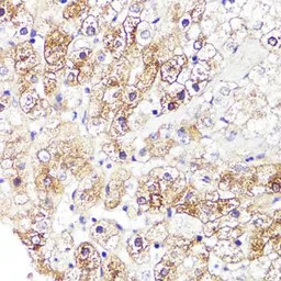
IHC-P analysis of human liver tissue using GTX53947 CYP3A4 antibody.
Dilution : 1:100
IHC-P analysis of mouse liver tissue using GTX53947 CYP3A4 antibody.
Blue : DAPI
Dilution : 1:100
WB analysis of various sample lysates using GTX53947 CYP3A4 antibody.
Dilution : 1:1000
Loading : 25μg per lane
ICC/IF analysis of U2OS cells using GTX53947 CYP3A4 antibody.
Blue : DAPI
Dilution : 1:100
IHC-P analysis of mouse liver tissue using GTX53947 CYP3A4 antibody.
Dilution : 1:100
IHC-P analysis of rat ovary tissue using GTX53947 CYP3A4 antibody.
Dilution : 1:100
风险提示:丁香通仅作为第三方平台,为商家信息发布提供平台空间。用户咨询产品时请注意保护个人信息及财产安全,合理判断,谨慎选购商品,商家和用户对交易行为负责。对于医疗器械类产品,请先查证核实企业经营资质和医疗器械产品注册证情况。
文献和实验Generation of Antibody Molecules Through Antibody Engineering
been overcome to a large extent using genetic-engineering techniques to produce chimeric mouse/human and completely human antibodies. Such an approach is particularly suitable because of the domain structure of the antibody molecule ( 2 ), where functional
人CYP3A4 酶联免疫分析 试剂盒使用说明书 本试剂仅供研究使用 目的:本试剂盒用于测定人血清,血浆及相关液体样本中 CYP3A4 的含量。 实验原理: 本试剂盒应用双抗体夹心法测定标本中人 CYP3A4 水平。用纯化的人 CYP3A4 抗体包被微孔板,制成固相抗体,往包被单抗的微孔中依次加入 CYP3A4 ,再与 HRP 标记的 CYP3A4 抗体结合,形成抗体 - 抗原 - 酶标抗体复合物,经过彻底洗涤
The importance of antibody molecules was first recognized in the 1890s, when it was shown that immunity to tetanus and diphtheria was caused by antibodies against the bacterial exotoxins (1 ). Around the same time, it was shown that antisera
技术资料暂无技术资料 索取技术资料





![SARS-CoV Spike (SΔ3) antibody [7G12]](https://img1.dxycdn.com/2022/0329/648/0056723510026020453-14.jpg!wh200)
![Huntingtin (neoepitope 513) antibody [3-19]](https://img1.dxycdn.com/2022/0328/214/9140638263401400453-14.jpg!wh200)


![Cardiac Troponin T antibody [TT44 (BGN/1288/44)]](https://img1.dxycdn.com/2022/0328/826/8780194371183400453-14.jpg!wh200)

