相关产品推荐更多 >
万千商家帮你免费找货
0 人在求购买到急需产品
- 详细信息
- 文献和实验
- 技术资料
- 免疫原:
Amino acids 115-132 of human IL-17E (isoform CRA_a) were used as immunogen for this antibody.
- 亚型:
IgG1
- 形态:
Liquid
- 保存条件:
Store as concentrated solution. Centrifuge briefly prior to opening vial. For short-term storage (1-2 weeks), store at 4ºC. For long-term storage, aliquot and store at -20ºC or below. Avoid multiple freeze-thaw cycles.
- 克隆性:
Monoclonal
- 标记物:
Unconjugated
- 适应物种:
Human, Mouse
- 保质期:
12 months from the shipping date of the product.
- 抗原来源:
Human
- 目录编号:
GTX53468
- 级别:
Primary Antibodies
- 库存:
Available
- 供应商:
GeneTex
- 宿主:
Mouse
- 应用范围:
WB, IHC-P
- 浓度:
1 mg/ml (Please refer to the vial label for the specific concentration.)
- 靶点:
IL17E
- 抗体英文名:
IL17E antibody [68C1039.2]
- 抗体名:
IL17E 抗体 [68C1039.2]
- 规格:
100 μg
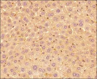
IHC-P analysis of mouse liver tissue using GTX53468 IL17E antibody [68C1039.2].
Dilution : 1:150
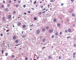
IHC-P analysis of human adrenal cortex tissue using GTX53468 IL17E antibody [68C1039.2].
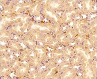
IHC-P analysis of mouse kidney tissue using GTX53468 IL17E antibody [68C1039.2].
Dilution : 1:150
WB analysis of mouse testis tissue using GTX53468 IL17E antibody [68C1039.2].
Dilution : 2 μg/ml
风险提示:丁香通仅作为第三方平台,为商家信息发布提供平台空间。用户咨询产品时请注意保护个人信息及财产安全,合理判断,谨慎选购商品,商家和用户对交易行为负责。对于医疗器械类产品,请先查证核实企业经营资质和医疗器械产品注册证情况。
文献和实验NaCl0.1% azide 0.1 g Na azideup to 100 ml with Q(8) 1X Coupling Buffer0.2 M NaHCO3 1.68 g NaHCO30.5 M NaCl 2.92 g NaClpH to 8.0 and bring up to 100 ml(9) 1X Buffer A0.5 M NaCl 2.92 g NaCl0.01 M Tris 0.121 g Tris basepH to 8.3 and bring up to 100 mlAdd
ml with Q 1X Coupling Buffer 0.2 M NaHCO3 1.68 g NaHCO3 0.5 M NaCl 2.92 g NaCl pH to 8.0 and bring up to 100 ml 1X Buffer A 0.5 M NaCl 2.92 g NaCl 0.01 M Tris 0.121 g Tris base pH to 8.3 and bring up to 100
(either undiluted or 1:1 with PBT) or diluted polyclonal antiserum and incubate at 4 C overnight 8. Rinse with PBT 3 times, then wash 4 times for 15 minutes each 9. Add secondary antibody (usually 1:200 in PBT) and incubate 2 hours at room temperature
技术资料暂无技术资料 索取技术资料










