相关产品推荐更多 >
万千商家帮你免费找货
0 人在求购买到急需产品
- 详细信息
- 文献和实验
- 技术资料
- 免疫原:
KLH conjugated synthetic peptide derived from human SPP24(65-100).
- 亚型:
IgG
- 形态:
Liquid
- 保存条件:
Store as concentrated solution. Centrifuge briefly prior to opening vial. For short-term storage (1-2 weeks), store at 4ºC. For long-term storage, aliquot and store at -20ºC or below. Avoid multiple freeze-thaw cycles.
- 克隆性:
Polyclonal
- 标记物:
Unconjugated
- 适应物种:
Human, Rat
- 保质期:
12 months from the shipping date of the product.
- 抗原来源:
Human
- 目录编号:
GTX51998
- 级别:
Primary Antibodies
- 库存:
Available
- 供应商:
GeneTex
- 宿主:
Rabbit
- 应用范围:
IHC-P, ELISA
- 浓度:
1 mg/ml (Please refer to the vial label for the specific concentration.)
- 靶点:
SPP24
- 抗体英文名:
SPP24 antibody
- 抗体名:
SPP24 抗体
- 规格:
100 μl
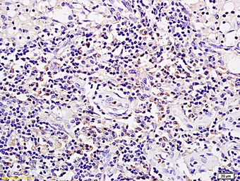
IHC-P analysis of rat xenograft tumor tissue using GTX51998 SPP24 antibody.
ELISA analysis of 2μg GTX51998 anitgen in 100μl buffer using serial diluted GTX51998 SPP24 antibody.
风险提示:丁香通仅作为第三方平台,为商家信息发布提供平台空间。用户咨询产品时请注意保护个人信息及财产安全,合理判断,谨慎选购商品,商家和用户对交易行为负责。对于医疗器械类产品,请先查证核实企业经营资质和医疗器械产品注册证情况。
文献和实验jeremyking 前几天订购了FLUO-4 AM, 因为五一放假,同事就放到4度的冰箱中了,第二天才知道这个事。不知道还能不能用,请各位指教,不然要重新定试剂了。谢谢 jeremyking 自己顶一下,希望有人知道答案 moxucheng 可以用,没问题 本文由丁香园论坛提供,想了解更多有用的、有意思的前沿资讯以及酷炫的实验方法的你,都可以成为师兄的好伙伴 师兄
Fish-borne and meat-borne parasitic infections represent an important public health concern, given the increasing risk of acquiring these pathogens and related allergies through the consumption of raw or undercooked seafood and meat
作为医护人员,大家看多了别人的生死,来说说如果是自己的话,会有什么样的选择吧!△ 图片来源:网页截图只是假设哈!@yuzx_zdm: 如果生命真的只剩了 24 小时,想起了俺那未通关的游戏,了!!!......@瑞雪初晴: 我会想方设法不死在亲人面前,我会一个人静悄悄地投身大海,让爱我的亲人脑海里永远存留着我鲜活的面容。@语笑嫣然: 去陪爸爸妈妈,然后在最后的时刻回到 LG 身边,握着他的手死去。@紫妍: 好好地哭一场, 然后买好多的零食,然后出走...@greenb: 如果现在发生,我会很难
技术资料暂无技术资料 索取技术资料






![MAGE 1 antibody [MZ2E/838]](https://img1.dxycdn.com/2022/0328/939/1101179121901700453-14.jpg!wh200)
![TERT antibody [C2C3-2], C-term](https://img1.dxycdn.com/2022/0328/331/4203233708184300453-14.jpg!wh200)



