相关产品推荐更多 >
万千商家帮你免费找货
0 人在求购买到急需产品
- 详细信息
- 文献和实验
- 技术资料
- 免疫原:
Peptide sequence around phosphorylation site of serine 58 (R-S-S(p)-W-R) derived from human 14-3-3 zeta.
- 亚型:
IgG
- 形态:
Liquid
- 保存条件:
Store as concentrated solution. Centrifuge briefly prior to opening vial. For short-term storage (1-2 weeks), store at 4ºC. For long-term storage, aliquot and store at -20ºC or below. Avoid multiple freeze-thaw cycles.
- 克隆性:
Polyclonal
- 标记物:
Unconjugated
- 适应物种:
Human
- 保质期:
12 months from the shipping date of the product.
- 抗原来源:
Human
- 目录编号:
GTX50712
- 级别:
Primary Antibodies
- 库存:
Available
- 供应商:
GeneTex
- 宿主:
Rabbit
- 应用范围:
WB, ICC/IF, IHC-P
- 浓度:
1 mg/ml (Please refer to the vial label for the specific concentration.)
- 靶点:
14-3-3 zeta (phospho Ser58)
- 抗体英文名:
14-3-3 zeta (phospho Ser58) antibody
- 抗体名:
14-3-3 zeta (phospho Ser58) 抗体
- 规格:
100 μl
WB analysis of extracts from HeLa cells untreated or treated with UV using GTX50712 14-3-3 zeta (phospho Ser58) antibody.
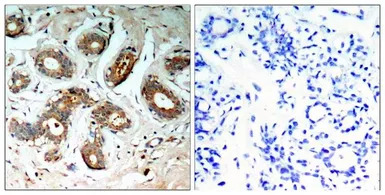
IHC-P analysis of human breast carcinoma tissue using GTX50712 14-3-3 zeta (phospho Ser58) antibody.
Left : Primary antibody
Right : Primary antibody pre-incubated with the antigen specific peptide
ICC/IF analysis of methanol-fixed HeLa cells using GTX50712 14-3-3 zeta (phospho Ser58) antibody.
风险提示:丁香通仅作为第三方平台,为商家信息发布提供平台空间。用户咨询产品时请注意保护个人信息及财产安全,合理判断,谨慎选购商品,商家和用户对交易行为负责。对于医疗器械类产品,请先查证核实企业经营资质和医疗器械产品注册证情况。
文献和实验The human and bovine 14-3-3 eta protein mRNAs are highly conservedEvolutionary conservation of the 14-3-3 proteinExpression and structural analysis of 14-3-3 proteinsCrystal structure of the zeta isoform of the 14-3-3 proteinStructure of a 14
Introduction of human 14-3-3 proteins
terminus of GPIb-alpha,as indicated by antibody inhibition and direct binding of 14-3-3zeta to synthetic GPIb-alpha cytoplasmic domain peptides.The 14-3-3zeta binds to recombinant wild type GPIb-IX but not to the GPIb-alpha mutants lacking C-terminal
Using Phospho‐Motif Antibodies to Determine Kinase Substrates
comprising both the phosphorylated residue and the surrounding residues that determine kinase specificity, with degenerate residues taking up the remaining positions. Currently, several categories of phospho?motif antibody are commercially available
技术资料暂无技术资料 索取技术资料






![KEAP1 antibody [1F10B6]](https://img1.dxycdn.com/2022/0328/388/2794683364113500453-14.jpg!wh200)


![HIF1 beta antibody [4C5]](https://img1.dxycdn.com/2022/0328/597/7022443478729600453-14.jpg!wh200)
