相关产品推荐更多 >
万千商家帮你免费找货
0 人在求购买到急需产品
- 详细信息
- 文献和实验
- 技术资料
- 免疫原:
Peptide sequence around aa. 409~413 (I-R-S-P-R) derived from human p70 S6K.
- 亚型:
IgG
- 形态:
Liquid
- 保存条件:
Store as concentrated solution. Centrifuge briefly prior to opening vial. For short-term storage (1-2 weeks), store at 4ºC. For long-term storage, aliquot and store at -20ºC or below. Avoid multiple freeze-thaw cycles.
- 克隆性:
Polyclonal
- 标记物:
Unconjugated
- 适应物种:
Human
- 保质期:
12 months from the shipping date of the product.
- 抗原来源:
Human
- 目录编号:
GTX50582
- 级别:
Primary Antibodies
- 库存:
Available
- 供应商:
GeneTex
- 宿主:
Rabbit
- 应用范围:
WB, ICC/IF, IHC-P
- 浓度:
1 mg/ml (Please refer to the vial label for the specific concentration.)
- 靶点:
p70 S6K
- 抗体英文名:
p70 S6K antibody
- 抗体名:
p70 S6K 抗体
- 规格:
100 μl
WB analysis of extracts from 293 cells using GTX50582 p70 S6K antibody.
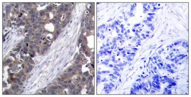
IHC-P analysis of human breast carcinoma tissue using GTX50582 p70 S6K antibody.
Left : Primary antibody
Right : Primary antibody pre-incubated with the antigen specific peptide
ICC/IF analysis of methanol-fixed MCF-7 cells using GTX50582 p70 S6K antibody.
风险提示:丁香通仅作为第三方平台,为商家信息发布提供平台空间。用户咨询产品时请注意保护个人信息及财产安全,合理判断,谨慎选购商品,商家和用户对交易行为负责。对于医疗器械类产品,请先查证核实企业经营资质和医疗器械产品注册证情况。
文献和实验大鼠白介素-12 p70(IL-12 p70)ELISA试剂盒 说明书
上海西唐生物科技有限公司 021-55229872, 65333639 www.westang.com 大鼠白介素 -12 p70(IL-12 p70)ELISA 试剂盒 ( 用于血清、血浆、细胞培养上清液和其它生物体液内 ) 原理 本实验采用双抗体夹心 ABC-ELISA 法。用抗大鼠 IL-12 p70 单抗包被于酶标板上,标准品和样品中的 IL-12 p70 与单抗结合,加入生物
人白介素-12 p70(IL-12 p70)ELISA试剂盒 说明书
上海西唐生物科技有限公司 021-55229872, 65333639 www.westang.com 人白介素-12 p70 (IL-12 p70)ELISA 试剂盒 ( 用于血清、血浆、细胞培养上清液和其它生物体液内 ) 原理 本实验采用双抗体夹心 ABC-ELISA 法。用抗人 IL-12 p70 单抗包被于酶标板上,标准品和样品中的 IL-12 p70与单抗
小鼠白介素-12 p70(IL-12 p70)ELISA试剂盒 说明书
上海西唐生物科技有限公司 021-55229872, 65333639 www.westang.com 小鼠白介素-12 p70 (IL-12 p70)ELISA 试剂盒 ( 用于血清、血浆、细胞培养上清液和其它生物体液内 ) 原理 本实验采用双抗体夹心 ABC-ELISA 法。用抗小鼠 IL-12 p70 单抗包被于酶标板上,标准品和样品中的 IL-12 p70
技术资料暂无技术资料 索取技术资料





![ZEB2 antibody [OTI1E12]](https://img1.dxycdn.com/2022/0328/885/1106579086006700453-14.jpg!wh200)


![IGF2BP2 antibody [4F7]](https://img1.dxycdn.com/2022/0328/682/9437483447938500453-14.jpg!wh200)


