相关产品推荐更多 >
万千商家帮你免费找货
0 人在求购买到急需产品
- 详细信息
- 文献和实验
- 技术资料
- 免疫原:
This antibody was raised against a synthetic peptide corresponding to amino acids 637-650 (EKDDREDKENAFKR) of human Dnmt1 (Genbank Accession No. NP_001370).
- 亚型:
IgG1
- 形态:
Liquid
- 保存条件:
Store as concentrated solution. Centrifuge briefly prior to opening vial. For short-term storage (1-2 weeks), store at 4ºC. For long-term storage, aliquot and store at -20ºC or below. Avoid multiple freeze-thaw cycles.
- 克隆性:
Monoclonal
- 标记物:
Unconjugated
- 适应物种:
Human, Mouse, Rat, Pig
- 保质期:
12 months from the shipping date of the product.
- 抗原来源:
Human
- 目录编号:
GTX48548
- 级别:
Primary Antibodies
- 库存:
Available
- 供应商:
GeneTex
- 宿主:
Mouse
- 应用范围:
WB, ICC/IF, IHC-P, FACS, IP, ChIP assay, MS, IHC (Free Floating)
- 浓度:
1 mg/ml (Please refer to the vial label for the specific concentration.)
- 靶点:
DNMT1
- 抗体英文名:
DNMT1 antibody [60B1220.1]
- 抗体名:
DNMT1 抗体 [60B1220.1]
- 规格:
50 μg
WB analysis of HeLa cell lysate using GTX48548 DNMT1 antibody [60B1220.1].
ICC/IF analysis of HeLa cells using GTX48548 DNMT1 antibody [60B1220.1].
Green : primary antibody
Red : Tubulin
Blue : DAPI
Dilution : 1:10
FACS (Intracellular staining) analysis of HeLa cells using GTX48548 DNMT1 antibody [60B1220.1].
Blue : Primary antibody
Orange : isotype control
Fixation : 4% PFA
WB analysis of 2102EP cells / human DNMT1 recombinant protein / NIH3T3 cells / D3 cells in the (A)/(C)/(E)/(G) absence and (B)/(D)/(F)/(H) presence of immunizing peptide using GTX48548 DNMT1 antibody [60B1220.1].
Dilution : 5 μg/ml for cells / 0.1μg/ml for recombinant protein
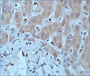
IHC-P analysis of human hepatocellular carcinoma tissue using GTX48548 DNMT1 antibody [60B1220.1].
Dilution : 1:50
风险提示:丁香通仅作为第三方平台,为商家信息发布提供平台空间。用户咨询产品时请注意保护个人信息及财产安全,合理判断,谨慎选购商品,商家和用户对交易行为负责。对于医疗器械类产品,请先查证核实企业经营资质和医疗器械产品注册证情况。
文献和实验Quantitative immunoprecipitation of GFP-fusion proteins using the GFP-Trap
) (Abcam, Cambridge, UK; Sigma, St. Louis, USA.; Roche, Mannheim, Germany). We recently generated a GFP-binding protein (GBP) based on a single domain antibody derived from Lama alpaca (Rothbauer et al., 2008). This GFP-binding protein is characterized
antibody at 5 µg/ml for 45 min at 4 °C. Mouse anti-human NFB p65 monoclonal antibody sc-8008 (Santa Cruz, CA, USA) recognizes epitopes mapping the C amino-acid terminus of human origin NFB p65. After two washes in PBS–FCS, nuclei were incubated for 45 min
of First Hospital of Harbin Medical University. RPMI 1640 was purchased from GIBCO. Propidium iodide and Rnase were from Sigma Chemical Co. A murine monoclonal antibody against human Bcl-2 and Bax oncoprotein and antimi ce rabbit polyclonal antibody were purchased
技术资料暂无技术资料 索取技术资料





![CD11b antibody [M1/70.15]](https://img1.dxycdn.com/2022/0328/349/0871741814799300453-14.jpg!wh200)




