相关产品推荐更多 >
万千商家帮你免费找货
0 人在求购买到急需产品
- 详细信息
- 技术资料
- 免疫原:
A synthetic peptide corresponding to a C-terminal region of Human NCL
- 亚型:
IgG
- 形态:
Liquid
- 保存条件:
Store as concentrated solution. Centrifuge briefly prior to opening vial. For short-term storage (1-2 weeks), store at 4ºC. For long-term storage, aliquot and store at -20ºC or below. Avoid multiple freeze-thaw cycles.
- 克隆性:
Polyclonal
- 标记物:
Unconjugated
- 适应物种:
Human
- 保质期:
12 months from the shipping date of the product.
- 抗原来源:
Human
- 目录编号:
GTX47363
- 级别:
Primary Antibodies
- 库存:
Available
- 供应商:
GeneTex
- 宿主:
Rabbit
- 应用范围:
WB, ICC/IF, IHC-P
- 浓度:
0.5-1 mg/ml (Please refer to the vial label for the specific concentration.)
- 靶点:
Nucleolin
- 抗体英文名:
Nucleolin antibody, C-term
- 抗体名:
Nucleolin 抗体, C-term
- 规格:
100 μg
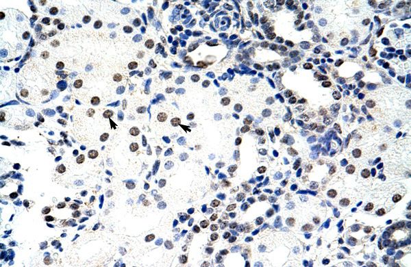
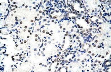
IHC-P analysis of human kidney tissue using GTX47363 NCL antibody at 4.0-8.0μg/ml.
WB analysis of NT-2 cells using GTX47363 NCL antibody at 2μg/ml.
WB analysis of Daudi cells using GTX47363 NCL antibody at 1.25μg/ml.
Lane A: marker
Lane B: Daudi cells
ICC/IF analysis of NT-2 cells using GTX47363 NCL antibody at 1:500.
Red: NCL
Blue:DAPI
风险提示:丁香通仅作为第三方平台,为商家信息发布提供平台空间。用户咨询产品时请注意保护个人信息及财产安全,合理判断,谨慎选购商品,商家和用户对交易行为负责。对于医疗器械类产品,请先查证核实企业经营资质和医疗器械产品注册证情况。
技术资料暂无技术资料 索取技术资料






![TCR alpha + TCR beta antibody [R73]](https://img1.dxycdn.com/2022/0329/584/2600402633636020453-14.gif!wh200)

![LI-Cadherin antibody [MSVA-517M] HistoMAX](https://custom.dxycdn.com/trademd/upload/pic/2013/11/12/A1383891150.jpg!small.t.1)
![SA1 antibody [GT8810]](https://img1.dxycdn.com/2022/0329/824/6946061360906020453-14.jpg!wh200)
