相关产品推荐更多 >
万千商家帮你免费找货
0 人在求购买到急需产品
- 详细信息
- 文献和实验
- 技术资料
- 免疫原:
A synthetic peptide corresponding to an Internal region of Human Gli2
- 亚型:
IgG
- 形态:
Liquid
- 保存条件:
Store as concentrated solution. Centrifuge briefly prior to opening vial. For short-term storage (1-2 weeks), store at 4ºC. For long-term storage, aliquot and store at -20ºC or below. Avoid multiple freeze-thaw cycles.
- 克隆性:
Polyclonal
- 标记物:
Unconjugated
- 适应物种:
Human, Mouse
- 保质期:
12 months from the shipping date of the product.
- 抗原来源:
Human
- 目录编号:
GTX46056
- 级别:
Primary Antibodies
- 库存:
Available
- 供应商:
GeneTex
- 宿主:
Rabbit
- 应用范围:
WB, ICC/IF, IHC-P, IHC-Fr
- 浓度:
0.5-1 mg/ml (Please refer to the vial label for the specific concentration.)
- 靶点:
Gli2
- 抗体英文名:
Gli2 antibody, Internal
- 抗体名:
Gli2 抗体, Internal
- 规格:
100 μg
IHC-Fr analysis of mouse gut tissue using GTX46056 Gli2 antibody at 1:50.
Green : GL2
Red : Neural crest cell.
Fixed tissue was treated with 0.1% Triton X-100 for 4-6 hours at room temperature or overnight at 4ºC, washed in PBS, incubated with primary antibodies for 4-6 hours at room temperature or overnight at 4ºC, washed in PBS, and then stained with secondary antibody (Goat Anti-Rabbit Cy3) for 4-6 hours at room temperature or overnight at 4ºC.
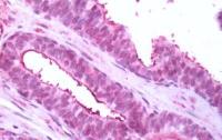
IHC-P analysis of human intestine tissue using GTX46056 Gli2 antibody at 4.0-8.0μg/ml.
WB analysis of Jurkat cells using GTX46056 Gli2 antibody at 2.5μg/ml.
Lane A : primary antibody
Lane B : primary antibody + blocking peptide
WB analysis of HepG2 cells using GTX46056 Gli2 antibody at 1.0μg/ml.
IHC-P analysis of human heart tissue using GTX46056 Gli2 antibody at 4.0-8.0μg/ml.
风险提示:丁香通仅作为第三方平台,为商家信息发布提供平台空间。用户咨询产品时请注意保护个人信息及财产安全,合理判断,谨慎选购商品,商家和用户对交易行为负责。对于医疗器械类产品,请先查证核实企业经营资质和医疗器械产品注册证情况。
文献和实验Casey D Gailey et al., Dev Dyn 2021 (PMID:32935890)
Hor?k P et al., Oncol Rep 2023 (PMID:36866769)
技术资料暂无技术资料 索取技术资料





![VWF antibody [F8/86]](https://img1.dxycdn.com/2022/0328/250/2656817681931700453-14.jpg!wh200)

![HLA-E antibody [MEM-E/06]](https://img1.dxycdn.com/2022/0328/203/0119035737649300453-14.jpg!wh200)
![gamma Catenin antibody [CTNG/1664]](https://img1.dxycdn.com/2022/0328/555/4242624299840700453-14.jpg!wh200)

