相关产品推荐更多 >
万千商家帮你免费找货
0 人在求购买到急需产品
- 详细信息
- 文献和实验
- 技术资料
- 免疫原:
Human PHA blasts.
- 亚型:
IgG1
- 形态:
Liquid
- 保存条件:
Store as concentrated solution. Centrifuge briefly prior to opening vial. For short-term storage (1-2 weeks), store at 4ºC. For long-term storage, aliquot and store at -20ºC or below. Avoid multiple freeze-thaw cycles.
- 克隆性:
Monoclonal
- 标记物:
Unconjugated
- 适应物种:
Human
- 保质期:
12 months from the shipping date of the product.
- 抗原来源:
Human
- 目录编号:
GTX44537
- 级别:
Primary Antibodies
- 库存:
Available
- 供应商:
GeneTex
- 宿主:
Mouse
- 应用范围:
IHC-Fr, FACS, Neutralizing/Inhibition
- 浓度:
1.0 mg/ml (Please refer to the vial label for the specific concentration.)
- 靶点:
Epitope mapping studies have shown that antibodies, produced by clone RPA-T4, recognize an epitope within domain 1 of the extracellular region of the CD4 molecule.
- 抗体英文名:
CD4 antibody [RPA-T4] (Low endotoxin, azide free)
- 抗体名:
CD4 抗体 [RPA-T4] (Low endotoxin, azide free)
- 规格:
100 μg
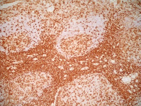
IHC-Fr analysis of human tonsil tissue using GTX44537 CD4 antibody [RPA-T4] (Low endotoxin, azide free).
IHC-Fr analysis of human tonsil tissue using GTX44537 CD4 antibody [RPA-T4] (Low endotoxin, azide free).
IHC-Fr analysis of human tonsil tissue using GTX44537 CD4 antibody [RPA-T4] (Low endotoxin, azide free).
IHC-Fr analysis of human tonsil tissue using GTX44537 CD4 antibody [RPA-T4] (Low endotoxin, azide free).
风险提示:丁香通仅作为第三方平台,为商家信息发布提供平台空间。用户咨询产品时请注意保护个人信息及财产安全,合理判断,谨慎选购商品,商家和用户对交易行为负责。对于医疗器械类产品,请先查证核实企业经营资质和医疗器械产品注册证情况。
文献和实验Purification of Endotoxin Free mAbs
pressure of circulation to force water out through the membrane, and rapidly concentrating the antibody/proteins up to 100 fold. The advantage of this method is very large volumes can be processed using sterile and endotoxin free components. Ammonium
Isolation of Untouched Human CD4+ T Cells from Peripheral Blood Mononuclear Cells (PBMC)
实验原理 A mixture of mouse IgG antibodies against the non-CD4 T cells is added to the starting sample and allowed to bind to the cells. Depletion MyOne™ Dynabeads® are added and will bind to the antibodylabelled cells
Intracellular Cytokine Staining Protocol
anti-cytokine antibodies with excess amounts of unlabeled antibody. Alternatively, recombinant cytokines can be used for blocking.eBioscience antibodies are available as Functional Grade (FG) Purified (sterile, endotoxin-tested, no azide), Purified
技术资料暂无技术资料 索取技术资料





![CD20 antibody [rIGEL/773]](https://img1.dxycdn.com/2022/0328/938/6571144889310700453-14.jpg!wh200)

![Chromogranin A antibody [PHE5]](https://img1.dxycdn.com/2022/0328/448/8630410693730700453-14.jpg!wh200)



