相关产品推荐更多 >
万千商家帮你免费找货
0 人在求购买到急需产品
- 详细信息
- 文献和实验
- 技术资料
- 免疫原:
Synthetic peptide comprised of amino acids 1-32 of human inhibin alpha.
- 亚型:
IgG2a
- 形态:
Liquid
- 保存条件:
Store as concentrated solution. Centrifuge briefly prior to opening vial. For short-term storage (1-2 weeks), store at 4ºC. For long-term storage, aliquot and store at -20ºC or below. Avoid multiple freeze-thaw cycles.
- 克隆性:
Monoclonal
- 标记物:
Unconjugated
- 适应物种:
Human, Sheep, Bovine
- 保质期:
12 months from the shipping date of the product.
- 抗原来源:
Human
- 目录编号:
GTX40216
- 级别:
Primary Antibodies
- 库存:
Available
- 供应商:
GeneTex
- 宿主:
Mouse
- 应用范围:
WB, IHC-P, IHC-Fr
- 靶点:
This antibody recognizes the alpha subunit of the 32 kDa human inhibin.
- 抗体英文名:
Inhibin alpha antibody [R1]
- 抗体名:
Inhibin alpha 抗体 [R1]
- 规格:
500 μl
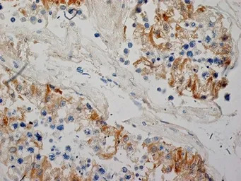
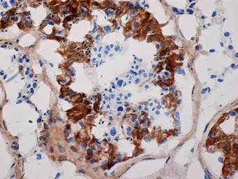
IHC-P analysis of human testis tissue using GTX40216 Inhibin alpha antibody. Antigen retrieval using Tris/EDTA pH9.0. Blocking was with peroxidase Blocking reagent + 10% normal goat serum.
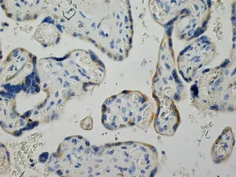
IHC-Fr analysis of human placenta tissue using GTX40216 Inhibin alpha antibody. Blocking was with 0.3%H2O2 + 10% normal goat serum.
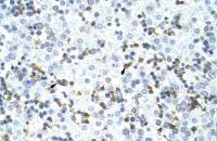
IHC-Fr analysis of human testis tissue using GTX40216 Inhibin alpha antibody. Blocking was with 0.3%H2O2 + 10% normal goat serum.
IHC-P analysis of human placenta tissue using GTX40216 Inhibin alpha antibody. Antigen retrieval using Tris/EDTA pH9.0. Blocking was with peroxidase Blocking reagent + 10% normal goat serum.
IHC-Fr analysis of human ovary tissue using GTX40216 Inhibin alpha antibody. Blocking was with 0.3%H2O2 + 10% normal goat serum.
IHC-P analysis of human placenta tissue using GTX40216 Inhibin alpha antibody. Antigen retrieval using Tris/EDTA pH9.0. Blocking was with peroxidase Blocking reagent + 10% normal goat serum.
IHC-Fr analysis of human testis tissue using GTX40216 Inhibin alpha antibody. Blocking was with 0.3%H2O2 + 10% normal goat serum.
IHC-Fr analysis of human placenta tissue using GTX40216 Inhibin alpha antibody. Blocking was with 0.3%H2O2 + 10% normal goat serum.
IHC-P analysis of human testis tissue using GTX40216 Inhibin alpha antibody [R1].
IHC-P analysis of human testis tissue using GTX40216 Inhibin alpha antibody. Antigen retrieval using Tris/EDTA pH9.0. Blocking was with peroxidase Blocking reagent + 10% normal goat serum.
风险提示:丁香通仅作为第三方平台,为商家信息发布提供平台空间。用户咨询产品时请注意保护个人信息及财产安全,合理判断,谨慎选购商品,商家和用户对交易行为负责。对于医疗器械类产品,请先查证核实企业经营资质和医疗器械产品注册证情况。
文献和实验In situ hybridisation to alpha satellite sequences (chromosome specific)
Alpha satellite sequences, whilst highly repetitive, are specific to each individual chromosome. These sequences flank the centromeres and can present a target measured in megabases. In this protocol a biotin or digoxigenin labelled DNA
In situ hybridisation to alpha satellite sequences (chromosome specific)
Alpha satellite sequences, whilst highly repetitive, are specific to each individual chromosome. These sequences flank the centromeres and can present a target measured in megabases. In this protocol a biotin or digoxigenin labelled DNA
上海西唐生物科技有限公司 021-55229872, 65333639 www.westang.com 人抑制素B ( Inhibin B )ELISA 试剂盒 ( 用于血清、血浆、细胞培养上清液和其它生物体液内 ) 原理 本实验采用双抗体夹心 ABC-ELISA 法。用抗人 Inhibin B 单抗包被于酶标板上,标准品和样品中的 Inhibin B与单抗结合
技术资料暂无技术资料 索取技术资料





![ATRIP antibody [11]](https://img1.dxycdn.com/2022/0328/011/2285797543653500453-14.jpg!wh200)
![TLE1 antibody [TLE1/2946R]](https://img1.dxycdn.com/2022/0328/753/5441961440539700453-14.jpg!wh200)

![PRMT5 antibody [N3C3]](https://img1.dxycdn.com/2022/0328/254/3664736785411300453-14.jpg!wh200)
![Collagen IV antibody [MSVA-704R] HistoMAX](https://custom.dxycdn.com/trademd/upload/pic/2013/11/12/A1383891150.jpg!small.t.1)
