相关产品推荐更多 >
万千商家帮你免费找货
0 人在求购买到急需产品
- 详细信息
- 文献和实验
- 技术资料
- 免疫原:
Balb/c macrophage precursor cell hybrids.
- 亚型:
IgG2a
- 形态:
Liquid
- 保存条件:
Store as concentrated solution. Centrifuge briefly prior to opening vial. For short-term storage (1-2 weeks), store at 4ºC. For long-term storage, aliquot and store at -20ºC or below. Avoid multiple freeze-thaw cycles.
- 克隆性:
Monoclonal
- 标记物:
Unconjugated
- 适应物种:
Mouse
- 保质期:
12 months from the shipping date of the product.
- 抗原来源:
Mouse
- 目录编号:
GTX39790
- 级别:
Primary Antibodies
- 库存:
Available
- 供应商:
GeneTex
- 宿主:
Rat
- 应用范围:
IHC-Fr, FACS, IP
- 浓度:
1.0 mg/ml (Please refer to the vial label for the specific concentration.)
- 靶点:
Ly6c
- 抗体英文名:
Ly6c antibody [ER-MP20]
- 抗体名:
Ly6c 抗体 [ER-MP20]
- 规格:
25 μg
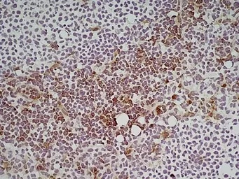
IHC-Fr analysis of mouse lymph node tissue using GTX39790 Ly-6C antibody [ER-MP20].
IHC-Fr analysis of mouse lymph node tissue using GTX39790 Ly-6C antibody [ER-MP20].
IHC-Fr analysis of mouse lymph node tissue using GTX39790 Ly-6C antibody [ER-MP20].
风险提示:丁香通仅作为第三方平台,为商家信息发布提供平台空间。用户咨询产品时请注意保护个人信息及财产安全,合理判断,谨慎选购商品,商家和用户对交易行为负责。对于医疗器械类产品,请先查证核实企业经营资质和医疗器械产品注册证情况。
文献和实验Expression of Antibody Fragments in Transgenic Plants
Plants are attractive systems for the expression of full-length antibodies and also for antibody derivatives such as scFvs, diabodies, camelid VHH and minibodies. For ‘Molecular Pharming’ ER retention of antibody fragments has been turned
international. Specific activity of the conjugate ranges from 4 to 7 Cryptates per antibody. This conjugate is supplied in 50 mM hepes buff er pH 7.0, 0.1% bovine serum albumin (BSA) protease free. The concentration of this conjugate has been calibrated
.02 乳腺癌标志物 ERα ERα——雌激素受体,属于核激素受体超家族。 定位:细胞核。 功能:雌激素受体是一种位于细胞核内的配体依赖性转录因子。当雌激素与其结合后,受体被激活,进而调控与细胞增殖、分化相关的靶基因转录,主导女性第二性征发育,并参与月经周期中乳腺和子宫内膜的生理性变化。 Carol E DeSantis 等在 2019 年统计,雌激素受体 α 阳性 (ERα+) 乳腺癌占全球报告病例的 79%[7]。这类癌细胞的生长
技术资料暂无技术资料 索取技术资料






![TCP1 alpha antibody [23c]](https://img1.dxycdn.com/2022/0329/371/4845132616104020453-14.jpg!wh200)


![Cytokeratin 8 antibody [H1]](https://img1.dxycdn.com/2022/0328/441/7451892688230700453-14.jpg!wh200)

