相关产品推荐更多 >
万千商家帮你免费找货
0 人在求购买到急需产品
- 详细信息
- 文献和实验
- 技术资料
- 免疫原:
Progesterone conjugated to bovine serum albumin at position 3.
- 亚型:
IgG1
- 形态:
Liquid
- 保存条件:
Store as concentrated solution. Centrifuge briefly prior to opening vial. For short-term storage (1-2 weeks), store at 4ºC. For long-term storage, aliquot and store at -20ºC or below. Avoid multiple freeze-thaw cycles.
- 克隆性:
Monoclonal
- 标记物:
Unconjugated
- 适应物种:
Human
- 保质期:
12 months from the shipping date of the product.
- 目录编号:
GTX39285
- 级别:
Primary Antibodies
- 库存:
Available
- 供应商:
GeneTex
- 宿主:
Mouse
- 应用范围:
IHC-P, ELISA
- 浓度:
0.5 mg/ml (Please refer to the vial label for the specific concentration.)
- 靶点:
Progesterone
- 抗体英文名:
Progesterone antibody [9B4]
- 抗体名:
Progesterone 抗体 [9B4]
- 规格:
1 mg
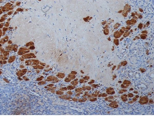
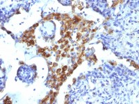
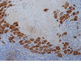
IHC-P analysis of human ovary tissue using GTX39285 Progesterone antibody [9B4].
IHC-P analysis of human ovary tissue using GTX39285 Progesterone antibody [9B4].
风险提示:丁香通仅作为第三方平台,为商家信息发布提供平台空间。用户咨询产品时请注意保护个人信息及财产安全,合理判断,谨慎选购商品,商家和用户对交易行为负责。对于医疗器械类产品,请先查证核实企业经营资质和医疗器械产品注册证情况。
文献和实验Duan L et al., Endocrine 2019 (PMID:31456041)
14 Immunotargeting of Catalase to the Pulmonary Vascular Endothelium
. In order to provide catalase with such an affinity, catalase could be chemically conjugated with a carrier antibodies recognizing the surface endothelial antigens (8 ). A monoclonal antibody (MAb) against such an antigen, angiotensin-converting enzyme
Methods for the Preparation of Electrochemical Composite Biosensors Based on Gold Nanoparticles
in which the enzyme and gold nanoparticles are incorporated into graphite—Teflon composite electrode matrices by simple physical inclusion, a progesterone immunusensor in which the antibody is directly attached to the electrode surface and amperometric transduction
(Contributed by Shyam Laxminarayan ) Protocol specifically for detecting estrogen/progesterone receptor by immunocytochemistry. Immunocytohistochemistry (Howell Lab) Procedures for cell plating, fixing, antibody incubation and mounting ・
技术资料暂无技术资料 索取技术资料











