相关产品推荐更多 >
万千商家帮你免费找货
0 人在求购买到急需产品
- 详细信息
- 文献和实验
- 技术资料
- 免疫原:
The antiserum was produced against synthesized phosphopeptide derived from human PAK1 around the phosphorylation site of threonine 423 (R -S-T(p)-M-V).
- 亚型:
IgG
- 形态:
Liquid
- 保存条件:
Store as concentrated solution. Centrifuge briefly prior to opening vial. For short-term storage (1-2 weeks), store at 4ºC. For long-term storage, aliquot and store at -20ºC or below. Avoid multiple freeze-thaw cycles.
- 克隆性:
Polyclonal
- 标记物:
Unconjugated
- 适应物种:
Human
- 保质期:
12 months from the shipping date of the product.
- 抗原来源:
Human
- 目录编号:
GTX38587
- 级别:
Primary Antibodies
- 库存:
Available
- 供应商:
GeneTex
- 宿主:
Rabbit
- 应用范围:
ICC/IF, IHC-P
- 浓度:
1 mg/ml (Please refer to the vial label for the specific concentration.)
- 靶点:
PAK1/PAK2/PAK3 (phospho-Thr423/Thr402/Thr421) antibody detects endogenous levels of PAK1/PAK2/PAK3 only when phosphorylated at threonine 423/402/421.
- 抗体英文名:
PAK1 ( phospho Thr423 ) / PAK2 ( phospho Thr402 ) / PAK3 ( phospho Thr436 ) antibody
- 抗体名:
PAK1 ( phospho Thr423 ) / PAK2 ( phospho Thr402 ) / PAK3 ( phospho Thr436 ) 抗体
- 规格:
50 μl
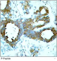
IHC-P analysis of human breast cacinoma tissue using GTX38587 PAK1 ( phospho Thr423 ) / PAK2 ( phospho Thr402 ) / PAK3 ( phospho Thr436 ) antibody.
ICC/IF analysis of methanol-fixed HeLa cells using GTX38587 PAK1 ( phospho Thr423 ) / PAK2 ( phospho Thr402 ) / PAK3 ( phospho Thr436 ) antibody.
Red : Primary antibody
风险提示:丁香通仅作为第三方平台,为商家信息发布提供平台空间。用户咨询产品时请注意保护个人信息及财产安全,合理判断,谨慎选购商品,商家和用户对交易行为负责。对于医疗器械类产品,请先查证核实企业经营资质和医疗器械产品注册证情况。
文献和实验Using Phospho‐Motif Antibodies to Determine Kinase Substrates
the phosphorylation site; therefore, substrate?directed, phosphorylation?state?sensitive, motif?specific (?phospho?motif?) antibodies represent powerful tools to identify novel kinase substrates and to investigate mechanisms of substrate phosphorylation
运用Cell Based Elisa检测信号通路蛋白和磷酸化蛋白
using Phospho-p38 and Total-p38 antibodies (C). Cell-Based Elisa将小鼠巨噬细胞4/4细胞种在96孔板内,每个孔种5 x 104 cells/cm2细胞。细胞用不同浓度的anisomycin刺激,我们来监测P38 MAPK和JNK两种蛋白的变化。按照试剂盒的实验步骤,分别固定,打孔,猝灭,封闭,然后一抗孵育,二抗孵育,最后显色,用常规的酶标仪读取数值。最后数据再和试剂盒提供的结晶紫核染料结果做纠正,最后得出以上数据。Quantitative
v468. chapter 4 WNT 细胞通路 检测细胞GSK3活性与表达水平
4 ). 2. Other antibodies used were b-catenin (phospho-Thr41/Ser37/Ser33) (#9561; Cell Signaling Technology), b-catenin (#9562;Cell Signaling Technology), CRMP2 (pT514/509) (#PB-043; Kinasource, Dundee, Scotland) and CRMP2 (#AB-042;Kinasource). 3. Blocking buffer
技术资料暂无技术资料 索取技术资料







![Triosephosphate isomerase antibody [GT3711]](https://img1.dxycdn.com/2022/0329/996/3461596833406020453-14.jpg!wh200)



