相关产品推荐更多 >
万千商家帮你免费找货
0 人在求购买到急需产品
- 详细信息
- 询价记录
- 文献和实验
- 技术资料
- 免疫原:
KLH conjugated synthetic peptide derived between 75-67 amino acids of human Apelin
- 亚型:
IgG
- 形态:
Liquid
- 保存条件:
Store as concentrated solution. Centrifuge briefly prior to opening vial. For short-term storage (1-2 weeks), store at 4ºC. For long-term storage, aliquot and store at -20ºC or below. Avoid multiple freeze-thaw cycles.
- 克隆性:
Polyclonal
- 标记物:
Unconjugated
- 适应物种:
Human, Mouse, Rat
- 保质期:
12 months from the shipping date of the product.
- 抗原来源:
Human
- 目录编号:
GTX37465
- 级别:
Primary Antibodies
- 库存:
Available
- 供应商:
GeneTex
- 宿主:
Rabbit
- 应用范围:
ICC/IF, IHC-P, IHC
- 浓度:
0.5 mg/ml (Please refer to the vial label for the specific concentration.)
- 靶点:
Apelin
- 抗体英文名:
Apelin antibody
- 抗体名:
Apelin 抗体
- 规格:
100 μg
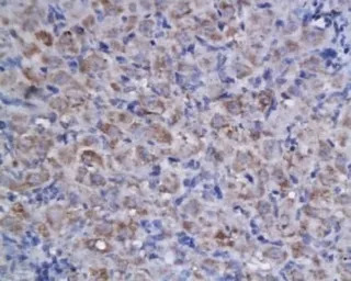
IHC-P analysis of rat ovary tissue using GTX37465 Apelin antibody.
Dilution : 1:100
IHC-P analysis of rat ovary tissue using GTX37465 Apelin antibody.
风险提示:丁香通仅作为第三方平台,为商家信息发布提供平台空间。用户咨询产品时请注意保护个人信息及财产安全,合理判断,谨慎选购商品,商家和用户对交易行为负责。对于医疗器械类产品,请先查证核实企业经营资质和医疗器械产品注册证情况。
- 作者
- 内容
- 询问日期
文献和实验Weitao Ji et al., Oxidative Medicine and Cellular Longevity 2019 2019()
Wang Y et al., Mol Cell Biochem 2019 (PMID:31270645)
Shi H et al., Biosci Rep 2017 (PMID:29070519)
Georgiadou D et al., Sci Rep 2019 (PMID:31836787)
Wang K et al., Life Sci 2020 (PMID:31870773)
人 Apelin 酶联免疫分析( ELISA ) 试剂盒使用说明书 本试剂仅供研究使用 目的:本试剂盒用于测定人血清,血浆及相关液体样本中Apelin 的 含量。 实验原理: 本试剂盒应用双抗体夹心法测定标本中人 Apelin 水平。用纯化的人 Apelin 抗体包被微孔板,制成固相抗体,往包被单抗的微孔中依次加入 Apelin ,再与 HRP 标记的 Apelin 抗体结合,形成抗体
上海西唐生物科技有限公司 021-55229872, 65333639 www.westang.com 人Apelin (Apelin)ELISA 试剂盒 ( 用于血清、血浆、细胞培养上清液和其它生物体液内 ) 原理 本实验采用双抗体夹心 ABC-ELISA 法。用抗人 Apelin 单抗包被于酶标板上,标准品和样品中的 Apelin与单抗结合,加入生物素化的抗人
大鼠 apelin (AP) 酶联免疫分析( ELISA ) 试剂盒使用说明书 本试剂仅供研究使用 目的:本试剂盒用于测定大鼠血清,血浆及相关液体样本中 apelin (AP) 的 含量。 实验原理: 本试剂盒应用双抗体夹心法测定标本中 大鼠 apelin (AP) 水平。用纯化的 apelin (AP) 抗体包被微孔板,制成固相抗体,往包被单抗的微孔中依次加入 apelin (AP
技术资料暂无技术资料 索取技术资料







![Sorbitol Dehydrogenase antibody [9E7]](https://img1.dxycdn.com/2022/0328/397/6660017497697500453-14.jpg!wh200)



