相关产品推荐更多 >
万千商家帮你免费找货
0 人在求购买到急需产品
- 详细信息
- 文献和实验
- 技术资料
- 免疫原:
BSA-conjugated 5-hydroxymethylcytosine.
- 亚型:
IgG
- 形态:
Liquid
- 保存条件:
Store as concentrated solution. Centrifuge briefly prior to opening vial. For short-term storage (1-2 weeks), store at 4ºC. For long-term storage, aliquot and store at -20ºC or below. Avoid multiple freeze-thaw cycles.
- 克隆性:
Monoclonal
- 标记物:
Unconjugated
- 适应物种:
Species independent
- 保质期:
12 months from the shipping date of the product.
- 目录编号:
GTX33605
- 级别:
Primary Antibodies
- 库存:
Available
- 供应商:
GeneTex
- 宿主:
Rabbit
- 应用范围:
ICC/IF, IHC-P, FACS, Dot, ELISA, MeDIP
- 浓度:
Batch dependent (Please refer to the vial label for the specific concentration.)
- 靶点:
This antibody reacts to 5-hydroxymethylcytosine in both single-stranded and double-stranded DNA. No cross reactivity with non-methylated cytosine and methylcytosine in DNA.
- 抗体英文名:
5-Hydroxymethylcytosine / 5-hmC antibody [RM236]
- 抗体名:
5-Hydroxymethylcytosine / 5-hmC 抗体 [RM236]
- 规格:
50 μg
ICC/IF analysis of HeLa cells treated with sodium butyrate using GTX33605 5-Hydroxymethylcytosine / 5-hmC antibody [RM236]. HeLa cells were fixed with 4% PFA and permeabilized with methanol (-20ºC) before treatment with 2 N HCl for 30 min at 37 ºC to denature DNA.
Red : Primary antibody
Green : Actin
Dilution : 0.5μg/ml
ELISA analysis of mouse brain genomic DNA using GTX33605 5-Hydroxymethylcytosine / 5-hmC antibody [RM236].
Dilution : 1 ug/mL or 3 ug/mL of RM236 was used as the primary antibody.
ELISA analysis of unmethylated DNA, 5-Methylcytosine (5-mC) DNA, and 5-Hydroxymethylcytosine (5-hmC) DNA using serial diluted GTX33605 5-Hydroxymethylcytosine / 5-hmC antibody [RM236].
MeDIP analysis of 1 ng of unmethylated, 5-Methylcytosine (5-mC) or 5-Hydroxymethylcytosine (5-hmC) DNA standard (897 bp) spiked in 1ug of genomic DNA isolated from HeLa cells using GTX33605 5-Hydroxymethylcytosine / 5-hmC antibody [RM236]. MeDIP was performed at a 10:1 DNA:Ab ratio. Realtime PCR was then performed to determine the capture of DNA standard as in % of input.
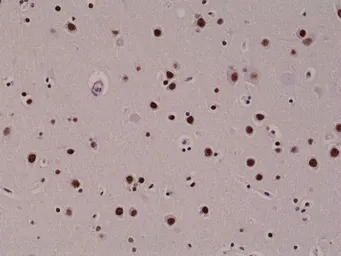
IHC-P analysis of human brain tissue using GTX33605 5-Hydroxymethylcytosine / 5-hmC antibody [RM236].
Dot blot analysis of 50, 5, and 0.5 ng/dot of double stranded 5-Hydroxymethylcytosine (5-hmC) DNA, 5-Methylcytosine (5-mC) DNA, and unmethylated DNA using GTX33605 5-Hydroxymethylcytosine / 5-hmC antibody [RM236].
FACS analysis of HEK293 cells using GTX33605 5-Hydroxymethylcytosine / 5-hmC antibody [RM236]. The cells were fixed with ice-cold MeOH, permeabilized with 0.5% Triton X-100, denatured with 2N HCl, then stained with GTX33605 (Blue) or with a negative control PEG antibody (Red).
风险提示:丁香通仅作为第三方平台,为商家信息发布提供平台空间。用户咨询产品时请注意保护个人信息及财产安全,合理判断,谨慎选购商品,商家和用户对交易行为负责。对于医疗器械类产品,请先查证核实企业经营资质和医疗器械产品注册证情况。
文献和实验Kojima N et al., Biosens Bioelectron 2020 (PMID:32763827)
S ci. 4 , 803-807. 20. L i a n g , , W u , F. S . , W a n g , D. W , , S u n , D. F. a n d J i a , X . ( 2005 ) W h ea t tra n sfo rm a tio n b y (declropora tio n w ith rin g electro d e. Yi Chuan Xue Bao 32, 66-71
质芯片检测。此外,肽芯片或基于质谱的方法[ 20,21] 也可以用于这方面。 我们在此介绍基于蛋白质芯片技术的蛋白磷酸化筛选方法和高通量确定蛋白激酶底物的方法。我们已成功地用这种筛选工具鉴定大麦酪蛋白激酶 2α ( CK 2α) 和不同的拟南芥丝裂原活化蛋白(MAP) 激酶 [23] 的新靶标。我们这个方法使用本书第 28 章详细描述的植物蛋白质芯片(见第 28 章)。在放射性【 γ33 磷】三磷酸腺苷存在的条件下,用可溶和具有活性的激酶孵育芯片。通过磷屏成像仪或 X 射线胶片检测到的放射性信号,对可能
以鼠结肠腺癌细胞系的3个具有不同转移潜能亚系作为差异显示的对象。当接种于裸鼠时,NL4亚系无转移能力,而NL17亚系(i.v.)和NL22亚系(s.c.)在肺部形成巨大转移灶。各细胞系转移表型的差异反映了其基因水平的差异。差异显示获得新基因HMC在高转移亚系NL17及NL22中高表达,在低转移亚系NL4中极低表达。Northern杂交证明在13例结肠癌病人中7例的原发癌灶及转移灶HMC表达较正常粘膜高,最高可达38倍。HMC与有丝分裂调控蛋白家族有部分同源性,为其功能研究提供了线索。为了探讨乳腺
技术资料暂无技术资料 索取技术资料








![HLA-A2 antibody [BB7.2] (Low endotoxin, azide free)](https://img1.dxycdn.com/2022/0329/204/1186025135726020453-14.jpg!wh200)


