相关产品推荐更多 >
万千商家帮你免费找货
0 人在求购买到急需产品
- 详细信息
- 文献和实验
- 技术资料
- 免疫原:
Recombinant fusion protein containing a sequence corresponding to amino acids 399-698 of human TF (NP_001054.1).
- 亚型:
IgG
- 形态:
Liquid
- 保存条件:
Store as concentrated solution. Centrifuge briefly prior to opening vial. For short-term storage (1-2 weeks), store at 4ºC. For long-term storage, aliquot and store at -20ºC or below. Avoid multiple freeze-thaw cycles.
- 克隆性:
Polyclonal
- 标记物:
Unconjugated
- 适应物种:
Human, Mouse, Rat
- 保质期:
12 months from the shipping date of the product.
- 抗原来源:
Human
- 目录编号:
GTX32933
- 级别:
Primary Antibodies
- 库存:
Available
- 供应商:
GeneTex
- 宿主:
Rabbit
- 应用范围:
WB
- 浓度:
Batch dependent (Please refer to the vial label for the specific concentration.)
- 靶点:
Transferrin
- 抗体英文名:
Transferrin antibody
- 抗体名:
Transferrin 抗体
- 规格:
100 μl
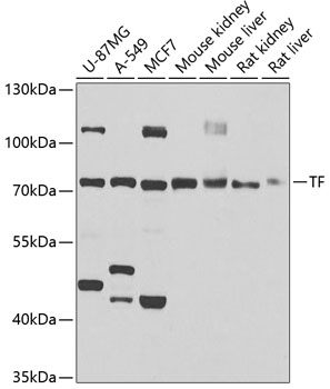
WB analysis of various sample lysates using GTX32933 Transferrin antibody.
Dilution : 1:1000
Loading : 25μg per lane
风险提示:丁香通仅作为第三方平台,为商家信息发布提供平台空间。用户咨询产品时请注意保护个人信息及财产安全,合理判断,谨慎选购商品,商家和用户对交易行为负责。对于医疗器械类产品,请先查证核实企业经营资质和医疗器械产品注册证情况。
文献和实验Methods for Manipulation of Transferrin-Binding Proteins
To obtain iron, a necessary nutrient, meningococci and several other human and veterinary pathogens have iron-acquisition systems, which are expressed in vivo during infection. One target of iron-acquisition systems is transferrin (Tf
转铁蛋白是血液中一种主要的糖蛋白, 负责将肝组织(是铁贮藏的主要场所)的铁向其它组织的细胞运输。没有结合铁的转铁蛋白称作脱铁转铁蛋白(apotransferrin), 它能够紧紧结合两个Fe3 , 此时称为铁结合转铁蛋白(ferrotransferrin)。所有生长中的细胞表面都有铁结合转铁蛋白的受体,在中性pH条件下转铁蛋白与铁结合, 然后通过内吞作用进入细胞。在细胞内,在内体的酸性环境下, 转铁蛋白释放出铁, 但是仍与膜受体结合在一起, 并与受体一同回到质膜。当细胞外环境变成中性时
转铁蛋白(transferrin,TRF,siderophilin)
转铁蛋白(transferrin,TRF,siderophilin)是血浆中主要的含铁蛋白质,负责运载由消化管吸收的铁和由红细胞降解释放的铁。以TRF-Fe3 的复合物形式进入骨髓中,供成熟红细胞的生成。 TRF分子量约7.7万,为单链糖蛋白,含糖量约6%。TRF可逆地结合多价离子,包括铁、铜、锌、钴等。每一分子TRF可结合两个三价铁原子。TRF主要由肝细胞合成,半寿期为7天。血浆中TRF的浓度受铁供应的调节,在缺铁状态时,血浆TRF浓度上升,经铁有效
技术资料暂无技术资料 索取技术资料





![PHLDA3 antibody [4B6]](https://img1.dxycdn.com/2022/0328/707/2599138141517700453-14.jpg!wh200)
![GSTP1 antibody [LW29]](https://img1.dxycdn.com/2022/0328/113/4402075787287700453-14.jpg!wh200)




