相关产品推荐更多 >
万千商家帮你免费找货
0 人在求购买到急需产品
- 详细信息
- 文献和实验
- 技术资料
- 免疫原:
Recombinant fusion protein containing a sequence corresponding to amino acids 61-290 of human SGCD (NP_000328.2).
- 亚型:
IgG
- 形态:
Liquid
- 保存条件:
Store as concentrated solution. Centrifuge briefly prior to opening vial. For short-term storage (1-2 weeks), store at 4ºC. For long-term storage, aliquot and store at -20ºC or below. Avoid multiple freeze-thaw cycles.
- 克隆性:
Polyclonal
- 标记物:
Unconjugated
- 适应物种:
Human, Mouse, Rat
- 保质期:
12 months from the shipping date of the product.
- 抗原来源:
Human
- 目录编号:
GTX32871
- 级别:
Primary Antibodies
- 库存:
Available
- 供应商:
GeneTex
- 宿主:
Rabbit
- 应用范围:
WB, IHC-P
- 浓度:
Batch dependent (Please refer to the vial label for the specific concentration.)
- 靶点:
delta Sarcoglycan
- 抗体英文名:
delta Sarcoglycan antibody
- 抗体名:
delta Sarcoglycan 抗体
- 规格:
100 μl
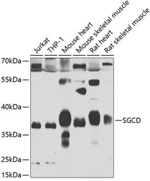
WB analysis of various sample lysates using GTX32871 delta Sarcoglycan antibody.
Dilution : 1:1000
Loading : 25μg per lane
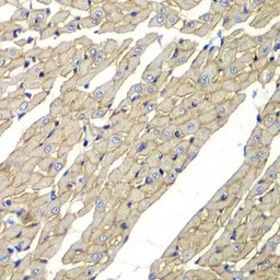
IHC-P analysis of rat heart tissue using GTX32871 delta Sarcoglycan antibody.
Dilution : 1:100
风险提示:丁香通仅作为第三方平台,为商家信息发布提供平台空间。用户咨询产品时请注意保护个人信息及财产安全,合理判断,谨慎选购商品,商家和用户对交易行为负责。对于医疗器械类产品,请先查证核实企业经营资质和医疗器械产品注册证情况。
文献和实验Perez-Ortiz AC et al., Int J Mol Sci 2019 (PMID:31689918)
Estrada-Mena FJ et al., Neurosci Lett 2017 (PMID:28855126)
祝贺〖雅裕睿安〗成为Signalway Antibody(SAB)独家
祝贺〖上海雅裕 〗成为 Signalway Antibody 品牌 (SAB) 的独家总代理。 促销【 ABCD 】细则如下: 【 A 】 买两支 SAB 抗体免费获得 8G 优盘 活动时间:即日起,至 2011 年
, then membranous expression Most specific T cell antibody Positive staining (normal): thymocytes, peripheral T cells, NK cells; also Purkinje cells of cerebellum Positive staining (disease): 80% of T cell lymphomas Negative staining: gamma delta T
Hepatitis B in Liver Transplant Recipients as a Special Model of Antiviral Drug Development
) and presence of hepatitis delta virus (HDV) infection before transplantation (Fig. 2 ). Also, for maximum efficacy, HBIG injections require a strict compliance with measurable serum titers of anti-HBs. It is important to recognize not only that HBIG
技术资料暂无技术资料 索取技术资料





![Myc tag antibody [GT0002]](https://img1.dxycdn.com/2022/0329/669/4050597761855020453-14.jpg!wh200)


![Dengue virus NS1 protein antibody [GT4212]](https://img1.dxycdn.com/2022/0329/271/2177667988495020453-14.jpg!wh200)


