相关产品推荐更多 >
万千商家帮你免费找货
0 人在求购买到急需产品
- 详细信息
- 文献和实验
- 技术资料
- 免疫原:
KLH-conjugated synthetic peptide encompassing a sequence within the C-term region of AMPK alpha 1. The exact sequence is proprietary.
- 亚型:
IgG
- 形态:
Liquid
- 保存条件:
Store as concentrated solution. Centrifuge briefly prior to opening vial. For short-term storage (1-2 weeks), store at 4ºC. For long-term storage, aliquot and store at -20ºC or below. Avoid multiple freeze-thaw cycles.
- 克隆性:
Polyclonal
- 标记物:
Unconjugated
- 适应物种:
Human, Mouse, Rat
- 保质期:
12 months from the shipping date of the product.
- 抗原来源:
Human
- 目录编号:
GTX32345
- 级别:
Primary Antibodies
- 库存:
Available
- 供应商:
GeneTex
- 宿主:
Rabbit
- 应用范围:
WB, ICC/IF, IHC-P
- 浓度:
Batch dependent (Please refer to the vial label for the specific concentration.)
- 靶点:
AMPK alpha 1 (phospho Ser496)
- 抗体英文名:
AMPK alpha 1 (phospho Ser496) antibody
- 抗体名:
AMPK alpha 1 (phospho Ser496) 抗体
- 规格:
100 μl
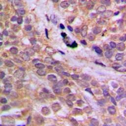
IHC-P analysis of formalin fixed human breast cancer tissue section using GTX32345 AMPK alpha 1 (phospho Ser496) antibody.
Antigen retrieval : Heat mediated antigen retrieval with sodium citrate buffer (pH 6.0)
WB analysis of UV-treated HUVEC (A), HeLa (B), SP2/0 (C), PC12 (D) whole cell lysates using GTX32345 AMPK alpha 1 (phospho Ser496) antibody.
ICC/IF analysis of formalin-fixed HUVEC cells using GTX32345 AMPK alpha 1 (phospho Ser496) antibody.
Red : Primary antibody
Blue : DAPI
Permeabilization : 0.1% Triton X-100 in TBS for 5-10 minutes
风险提示:丁香通仅作为第三方平台,为商家信息发布提供平台空间。用户咨询产品时请注意保护个人信息及财产安全,合理判断,谨慎选购商品,商家和用户对交易行为负责。对于医疗器械类产品,请先查证核实企业经营资质和医疗器械产品注册证情况。
文献和实验secondary antibody review -- data from 99 publications
cytometry used as a control to detect cell responses targeted antigen 7 Alexa Fluor 488 7 Cy3 8 goat IgG Alexa Fluor 488 1:2000 detect antibody binding in human embryonic kidney 293T cells Invitrogen 9 donkey
v468. chapter 4 WNT 细胞通路 检测细胞GSK3活性与表达水平
3.1 and 3.6 ). This will provide a “specific activity” measurement relative to total protein in the cell, and is themost accurate measure of total GSK3 activity, or2. Immunoblot using antibodies to phospho-Ser21 (GSK3a)or phospho-Ser9 (GSK3b) (see Sections 3.1 –
-l1-antibody-ya4674.html 兔来源、无偶联标记、抗 PD-L1 的 IgG 单克隆抗体。 Estrogen Receptor alpha Antibody (YA450) (HY-P80663) www.medchemexpress.cn/antibody/estrogen-receptor-alpha-rabbit-mab.html 兔来源、无偶联标记、抗 Estrogen Receptor alpha 的 IgG 单克隆抗体 CDX2 Antibody (YA3498
技术资料暂无技术资料 索取技术资料








![Influenza A virus H1 HA (Hemagglutinin) antibody [B213M]](https://img1.dxycdn.com/2022/0328/088/1747114184193400453-14.jpg!wh200)
![SMNDC1 antibody [N1C3-2]](https://img1.dxycdn.com/2022/0328/523/9890277386852300453-14.jpg!wh200)

