相关产品推荐更多 >
万千商家帮你免费找货
0 人在求购买到急需产品
- 详细信息
- 文献和实验
- 技术资料
- 免疫原:
KLH-conjugated synthetic peptide encompassing a sequence within the N-term region of IKB beta. The exact sequence is proprietary.
- 亚型:
IgG
- 形态:
Liquid
- 保存条件:
Store as concentrated solution. Centrifuge briefly prior to opening vial. For short-term storage (1-2 weeks), store at 4ºC. For long-term storage, aliquot and store at -20ºC or below. Avoid multiple freeze-thaw cycles.
- 克隆性:
Polyclonal
- 标记物:
Unconjugated
- 适应物种:
Human, Mouse, Rat
- 保质期:
12 months from the shipping date of the product.
- 抗原来源:
Human
- 目录编号:
GTX32225
- 级别:
Primary Antibodies
- 库存:
Available
- 供应商:
GeneTex
- 宿主:
Rabbit
- 应用范围:
WB, ICC/IF, IHC-P
- 浓度:
Batch dependent (Please refer to the vial label for the specific concentration.)
- 靶点:
IKB beta (phospho Ser23)
- 抗体英文名:
IKB beta (phospho Ser23) antibody
- 抗体名:
IKB beta (phospho Ser23) 抗体
- 规格:
100 μl
ICC/IF analysis of formalin-fixed PC12 cells using GTX32225 IKB beta (phospho Ser23) antibody.
Red : Primary antibody
Blue : DAPI
Permeabilization : 0.1% Triton X-100 in TBS for 5-10 minutes
WB analysis of LPS-treated HEK293T (A), LPS-treated SP2/0 (B), LPS-treated PC12 (C), HT29 (D), TNFa-treated NIH3T3 (E) whole cell lysates using GTX32225 IKB beta (phospho Ser23) antibody.
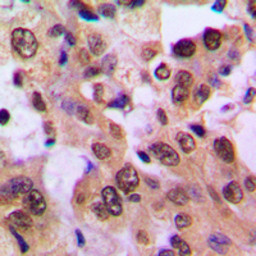
IHC-P analysis of formalin fixed human breast cancer tissue section using GTX32225 IKB beta (phospho Ser23) antibody.
Antigen retrieval : Heat mediated antigen retrieval with sodium citrate buffer (pH 6.0)
风险提示:丁香通仅作为第三方平台,为商家信息发布提供平台空间。用户咨询产品时请注意保护个人信息及财产安全,合理判断,谨慎选购商品,商家和用户对交易行为负责。对于医疗器械类产品,请先查证核实企业经营资质和医疗器械产品注册证情况。
文献和实验Anticardiolipin Antibody and Anti-beta 2 Glycoprotein I Antibody Assays
) antibodies and anti-beta 2 glycoprotein I (β2-GPI) antibodies. Other autoantibodies, such as those directed against anionic phospholipids, can also be assayed; however they are not of clinical significance. Participation in a quality assurance
下调不能说明活性降低,因为决定GSK3-beta的活性的还与其磷酸化的比例和磷酸化的位点有关。所以你除了要做GSK3-beta总的蛋白表达之外,还要做磷酸化的GSK3-beta的蛋白表达。 (2)应该活性形式和非活性形式都做。一般来讲,GSK3-beta在Ser9位点磷酸化之后活性收到抑制,而在216位点磷酸化之后,其活性收到加强。因此建议将GSK3-beta的两个磷酸化位点都做了,另外还要同时检测GSK3-beta的总蛋白表达,这样才能全面的说明问题。
Using Phospho‐Motif Antibodies to Determine Kinase Substrates
comprising both the phosphorylated residue and the surrounding residues that determine kinase specificity, with degenerate residues taking up the remaining positions. Currently, several categories of phospho?motif antibody are commercially available
技术资料暂无技术资料 索取技术资料







![ZNF350 antibody [C1C3]](https://img1.dxycdn.com/2022/0328/892/6951658008874300453-14.jpg!wh200)

![CD4 antibody [W3/25]](https://img1.dxycdn.com/2022/0329/041/5185819548046020453-14.jpg!wh200)
