相关产品推荐更多 >
万千商家帮你免费找货
0 人在求购买到急需产品
- 详细信息
- 文献和实验
- 技术资料
- 免疫原:
Bcl-G antibody was raised against a peptide corresponding to 15 amino acids near the N-terminus of human Bcl-G.The immunogen is located within the first 50 amino acids of Bcl-G.
- 亚型:
IgG
- 形态:
Liquid
- 保存条件:
Store as concentrated solution. Centrifuge briefly prior to opening vial. For short-term storage (1-2 weeks), store at 4ºC. For long-term storage, aliquot and store at -20ºC or below. Avoid multiple freeze-thaw cycles.
- 克隆性:
Polyclonal
- 标记物:
Unconjugated
- 适应物种:
Human, Mouse, Rat
- 保质期:
12 months from the shipping date of the product.
- 抗原来源:
Human
- 目录编号:
GTX31280
- 级别:
Primary Antibodies
- 库存:
Available
- 供应商:
GeneTex
- 宿主:
Rabbit
- 应用范围:
WB, IHC-P, ELISA
- 浓度:
1 mg/ml (Please refer to the vial label for the specific concentration.)
- 靶点:
Although antibody should react with both isoforms, only the Bcl-GS protein has been observed
- 抗体英文名:
Bcl-G antibody
- 抗体名:
Bcl-G 抗体
- 规格:
100 μg
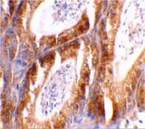
IHC-P analysis of mouse testis tissue using GTX31280 Bcl-G antibody.
Working concentration : 2 μg/ml
IHC-P analysis of mouse testis tissue using GTX31280 Bcl-G antibody.
Working concentration : 10 μg/ml
WB analysis of U937 cell lysate using GTX31280 Bcl-G antibody.
Working concentration : (A) 2.5 and (B) 5 μg/ml
风险提示:丁香通仅作为第三方平台,为商家信息发布提供平台空间。用户咨询产品时请注意保护个人信息及财产安全,合理判断,谨慎选购商品,商家和用户对交易行为负责。对于医疗器械类产品,请先查证核实企业经营资质和医疗器械产品注册证情况。
文献和实验ANTIBODY BINDING TO PROTEIN A AND PROTEIN G
Protein A, derived from the cell wall of Staphylococcus aureus , and protein G, derived from the cell wall of certain strains of b -hemolytic Streptococcci , binds the Fc region
【求助】如果要证明Bcl-2和RARP活性,应该做什么实验?
eeflying 目前有两种化合物,分别为Bcl-2和PARP的抑制剂, 虽然这两个指标通常作为细胞凋亡的指标常用于分子生物实验, 但是,如何证明这两个分子被抑制的实验却第一次碰到, 请各位战友支招,我要直接检测哪个蛋白的WB 或者做什么实验合适? magichunter 用western检测bcl-2的含量变化,检测PARP活性裂解片段的含量变化以及原型态PARP的含量
Bcl-2蛋白是bcl-2 原癌基因的编码产物,是细胞存活促进因子,属膜整合蛋白,分子量为26kDa, 定位于线粒体、内质网和连续的核周膜。Bcl-2蛋白家族是一个特别的家族,成员中有些促进凋亡,如Bad、Bid 、Bax,有些成员阻止细胞凋亡,如Bcl-2、 Bcl-x、Bcl-w。Bcl-2能够阻止细胞色素c从线粒体释放到细胞质,从而抑制了细胞凋亡。
技术资料暂无技术资料 索取技术资料






![ELAVL1 / HuR antibody [GT1182]](https://img1.dxycdn.com/2022/0328/686/2037658824946700453-14.jpg!wh200)
![TIF1 gamma antibody [3H7-C8-B9]](https://img1.dxycdn.com/2022/0329/972/4947380680784020453-14.jpg!wh200)


