相关产品推荐更多 >
万千商家帮你免费找货
0 人在求购买到急需产品
- 详细信息
- 文献和实验
- 技术资料
- 免疫原:
Cytoskeleton preparation of HeLa human cervix carcinoma cell line.
- 亚型:
IgG1
- 形态:
Liquid
- 保存条件:
Store as concentrated solution. Centrifuge briefly prior to opening vial. Store at 4ºC. DO NOT FREEZE.
- 克隆性:
Monoclonal
- 标记物:
Unconjugated
- 适应物种:
Human, Bovine, Pig
- 保质期:
12 months from the shipping date of the product.
- 抗原来源:
Human
- 目录编号:
GTX20670
- 级别:
Primary Antibodies
- 库存:
Available
- 供应商:
GeneTex
- 宿主:
Mouse
- 应用范围:
WB, ICC/IF, IHC-P, IP
- 浓度:
1 mg/ml (Please refer to the vial label for the specific concentration.)
- 靶点:
We do not recommend use of this product for Mouse,Rabbit,Rat.
- 抗体英文名:
Cytokeratin 7 + 17 antibody [C-46]
- 抗体名:
Cytokeratin 7 + 17 抗体 [C-46]
- 规格:
100 μg
IHC-P analysis of human breast tissue using GTX20670 Cytokeratin 7 + 17 antibody [C-46].
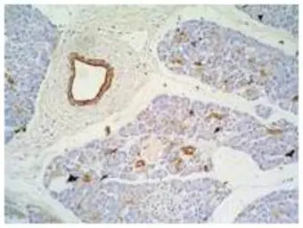
IHC-P analysis of pancreas tissue using GTX20670 Cytokeratin 7 + 17 antibody [C-46].
WB analysis of HeLa cell lysate using GTX20670 Cytokeratin 7 + 17 antibody [C-46].
风险提示:丁香通仅作为第三方平台,为商家信息发布提供平台空间。用户咨询产品时请注意保护个人信息及财产安全,合理判断,谨慎选购商品,商家和用户对交易行为负责。对于医疗器械类产品,请先查证核实企业经营资质和医疗器械产品注册证情况。
文献和实验Combined 3C-ChIP-Cloning (6C) Assay: A Tool to Unravel Protein-Mediated Genome Architecture
involves conventional 3C methodology: The chromatin is cross-linked, digested with restriction enzymes, and ligated under conditions that favor intramolecular ligation. Immediately after ligation, the chromatin is immunoprecipitated using an antibody
上海西唐生物科技有限公司 021-55229872, 65333639 www.westang.com 大鼠白介素 -17(IL-17)ELISA 试剂盒 ( 用于血清、血浆、细胞培养上清液和其它生物体液内 ) 原理 本实验采用双抗体夹心 ABC-ELISA 法。用抗大鼠 IL-17 单抗包被于酶标板上,标准品和样品中的 IL-17 与单抗结合,加入生物素化的抗大鼠 IL-17 ,形成免疫复合物连接
上海西唐生物科技有限公司 021-55229872, 65333639 www.westang.com 豚鼠白介素-17 (IL- 17 )ELISA 试剂盒 ( 用于血清、血浆、细胞培养上清液和其它生物体液内 ) 原理 本实验采用双抗体夹心 ABC-ELISA 法。用抗豚鼠 IL-17 单抗包被于酶标板上,标准品和样品中的 IL-17与单抗结合,加入生物
技术资料暂无技术资料 索取技术资料






![ATP2C1 antibody [4G12]](https://img1.dxycdn.com/2022/0328/051/3430480952087500453-14.jpg!wh200)


![CER1 antibody [5C6]](https://img1.dxycdn.com/2022/0328/689/4733819603967500453-14.jpg!wh200)

