相关产品推荐更多 >
万千商家帮你免费找货
0 人在求购买到急需产品
- 详细信息
- 文献和实验
- 技术资料
- 免疫原:
Immunoprecipitated synaptic vesicle-containing fractions from human brain homogenates.
- 亚型:
IgM
- 形态:
Liquid
- 保存条件:
Store as concentrated solution. Centrifuge briefly prior to opening vial. For short-term storage (1-2 weeks), store at 4ºC. For long-term storage, aliquot and store at -20ºC or below. Avoid multiple freeze-thaw cycles.
- 克隆性:
Monoclonal
- 标记物:
Unconjugated
- 适应物种:
Human, Mouse, Rat, Bovine, Hamster, Pig, Xenopus
- 保质期:
12 months from the shipping date of the product.
- 抗原来源:
Human
- 目录编号:
GTX18013
- 级别:
Primary Antibodies
- 库存:
Available
- 供应商:
GeneTex
- 宿主:
Mouse
- 应用范围:
WB, IHC
- 浓度:
Batch dependent (Please refer to the vial label for the specific concentration.)
- 靶点:
Synaptobrevin
- 抗体英文名:
Synaptobrevin antibody [4E240]
- 抗体名:
Synaptobrevin 抗体 [4E240]
- 规格:
50 μl
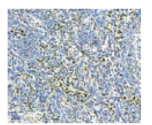
IHC analysis of Xenopus embryonic brain tissue using GTX18013 Synaptobrevin antibody [4E240].
WB analysis of mouse brain tissue lysate using GTX18013 Synaptobrevin antibody [4E240].
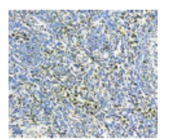
IHC analysis of human neuroblastoma tissue using GTX18013 Synaptobrevin antibody [4E240].
Dilution : 1:50
风险提示:丁香通仅作为第三方平台,为商家信息发布提供平台空间。用户咨询产品时请注意保护个人信息及财产安全,合理判断,谨慎选购商品,商家和用户对交易行为负责。对于医疗器械类产品,请先查证核实企业经营资质和医疗器械产品注册证情况。
文献和实验Expression of Recombinant Antibody Fusion Proteins in E. coli
Conjugates of antibodies or antibody fragments with foreign proteins have attracted interest because of their therapeutic potential as antitumor agents in vivo. Localization of the complex to the target site is dependent on the specificity
Expression and Isolation of Recombinant Antibody Fragments in E. coli
antibodies (MAbs), functional derivatives (antibody fragments) carrying antigen (Ag)-binding activities, and comprising at minimum the antibody variable heavy- and light-chain domains, can be readily produced in bacterial cells (1 ). The range of antibody
Production of Stabilized scFv Antibody Fragments in the E. coli Bacterial Cytoplasm
. The single-chain variable fragment (scFv) antibody is a minimal form of functional antibody comprised of the variable domains of immunoglobulin light and heavy chains connected by a flexible linker. In most cases, scFvs are expressed in the bacterium E. coli
技术资料暂无技术资料 索取技术资料





![nm23-H1 antibody [4B2]](https://img1.dxycdn.com/2022/0328/543/6762102797467500453-14.jpg!wh200)
![BrdU antibody [BRD2888R]](https://img1.dxycdn.com/2022/0328/824/9199864925499700453-14.jpg!wh200)



