相关产品推荐更多 >
万千商家帮你免费找货
0 人在求购买到急需产品
- 详细信息
- 技术资料
- 免疫原:
Peptide (C)DSSNPIES(S)QNFYKD, corresponding to amino acid residues 199-213 (1st extracellular loop) of rat KCNMA1 (Accession : Q62976).
- 亚型:
IgG
- 形态:
Liquid
- 保存条件:
Store as concentrated solution. Centrifuge briefly prior to opening vial. For short-term storage (1-2 weeks), store at 4ºC. For long-term storage, aliquot and store at -20ºC or below. Avoid multiple freeze-thaw cycles.
- 克隆性:
Polyclonal
- 标记物:
Unconjugated
- 适应物种:
Human, Mouse, Rat
- 保质期:
12 months from the shipping date of the product.
- 抗原来源:
Rat
- 目录编号:
GTX16725
- 级别:
Primary Antibodies
- 库存:
Available
- 供应商:
GeneTex
- 宿主:
Rabbit
- 应用范围:
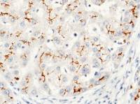
WB, FACS, IHC
- 浓度:
0.8 mg/ml (Please refer to the vial label for the specific concentration.)
- 靶点:
Maxi Potassium channel alpha
- 抗体英文名:
Maxi Potassium channel alpha antibody
- 抗体名:
Maxi Potassium channel alpha 抗体
- 规格:
50 μl
WB analysis of rat (lanes 1 and 3) and mouse (lanes 2 and 4) brain membrane lysates using GTX16725 Maxi Potassium channel alpha antibody preincubated with or without immunogen peptide.
Dilution : 1:200
FACS analysis of THP-1 cells using GTX16725 Maxi Potassium channel alpha antibody.
Black : Unstained cell
Green : Cell staining with primary antibody
Dilution : 1:20
风险提示:丁香通仅作为第三方平台,为商家信息发布提供平台空间。用户咨询产品时请注意保护个人信息及财产安全,合理判断,谨慎选购商品,商家和用户对交易行为负责。对于医疗器械类产品,请先查证核实企业经营资质和医疗器械产品注册证情况。
技术资料暂无技术资料 索取技术资料





![PYK2 antibody [5E2D5]](https://img1.dxycdn.com/2022/0328/846/7168483547047500453-14.jpg!wh200)

![CEACAM1 antibody [8B6E2F4]](https://img1.dxycdn.com/2022/0328/425/4471323924518700453-14.jpg!wh200)
![Dengue virus type 2, 3 NS1 protein antibody [HL1991]](https://img1.dxycdn.com/2023/0605/753/8089595551251755661-14.jpg!wh200)

