相关产品推荐更多 >
万千商家帮你免费找货
0 人在求购买到急需产品
- 详细信息
- 文献和实验
- 技术资料
- 免疫原:
Purified recombinant human RAD23B protein fragments expressed in E.coli.
- 亚型:
IgG2b
- 形态:
Liquid
- 保存条件:
Store as concentrated solution. Centrifuge briefly prior to opening vial. For short-term storage (1-2 weeks), store at 4ºC. For long-term storage, aliquot and store at -20ºC or below. Avoid multiple freeze-thaw cycles.
- 克隆性:
Monoclonal
- 标记物:
Unconjugated
- 适应物种:
Human, Mouse, Rat, Hamster, Monkey
- 保质期:
12 months from the shipping date of the product.
- 抗原来源:
Human
- 目录编号:
GTX16485
- 级别:
Primary Antibodies
- 库存:
Available
- 供应商:
GeneTex
- 宿主:
Mouse
- 应用范围:
WB, ICC/IF, IHC-P
- 浓度:
1.5 mg/ml (Please refer to the vial label for the specific concentration.)
- 靶点:
RAD23B
- 抗体英文名:
RAD23B antibody [5H1-A10-A7]
- 抗体名:
RAD23B 抗体 [5H1-A10-A7]
- 规格:
100 μl
WB analysis of various cell lysates using hHR23b antibody [5H1-A10-A7] at a dilution of 1:1000.
WB analysis of various cell lysates using hHR23b antibody [5H1-A10-A7] at a dilution of 1:1000.
ICC/IF analysis of HeLa cells using hHR23b antibody [5H1-A10-A7] at a dilution of 1:100.
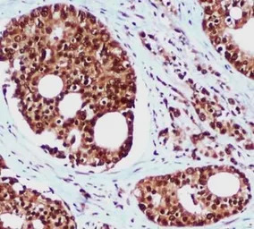
IHC-P analysis of prostate cancer using hHR23b antibody [5H1-A10-A7] at a dilution of 1:100. Antigen retrieval was performed by pressure cooking in citrate buffer (pH 6.0).
风险提示:丁香通仅作为第三方平台,为商家信息发布提供平台空间。用户咨询产品时请注意保护个人信息及财产安全,合理判断,谨慎选购商品,商家和用户对交易行为负责。对于医疗器械类产品,请先查证核实企业经营资质和医疗器械产品注册证情况。
文献和实验Enzyme-Linked ImmunoSorbent Assay (ELISA) for NGF
since more values fall into this range. The 6.25 pg/well standard placed in wells A3 through H3, the 3.12 pg/well standard in wells A10 through H10, the 1.56 pg/well standard in wells A4 through H4, and the blank or sample buffer (0 pg/well) in wells A7 through H7
技术资料暂无技术资料 索取技术资料





![Acrosin antibody [ACR-2]](https://img1.dxycdn.com/2022/0328/913/2091752618388300453-14.jpg!wh200)

![Tau (phospho Thr217) antibody [HL1276]](https://img1.dxycdn.com/2022/0329/074/7769585839519020453-14.jpg!wh200)

![Noggin antibody [4C12]](https://img1.dxycdn.com/2022/0328/890/5173489924628500453-14.jpg!wh200)

