相关产品推荐更多 >
万千商家帮你免费找货
0 人在求购买到急需产品
- 详细信息
- 文献和实验
- 技术资料
- 免疫原:
Visual Arrestin isolated from Porcine Cells.
- 亚型:
IgG1
- 形态:
Liquid
- 保存条件:
Store as concentrated solution. Centrifuge briefly prior to opening vial. For short-term storage (1-2 weeks), store at 4ºC. For long-term storage, aliquot and store at -20ºC or below. Avoid multiple freeze-thaw cycles.
- 克隆性:
Monoclonal
- 标记物:
Unconjugated
- 适应物种:
Human, Rat, Goat, Sheep, Bovine, Pig
- 保质期:
12 months from the shipping date of the product.
- 抗原来源:
Pig
- 目录编号:
GTX15617
- 级别:
Primary Antibodies
- 库存:
Available
- 供应商:
GeneTex
- 宿主:
Mouse
- 应用范围:
WB, IHC-P, ELISA
- 靶点:
S-arrestin
- 抗体英文名:
S-arrestin antibody [PDS1]
- 抗体名:
S-arrestin 抗体 [PDS1]
- 规格:
100 μl
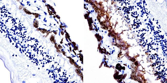
IHC-P analysis of human retina tissue using GTX15617 S-arrestin antibody [PDS1].
Antigen retrieval : 10mM sodium citrate followed by microwave treatment for 8-15 minutes.
Dilution : 1:20 overnight in a humidified chamber
风险提示:丁香通仅作为第三方平台,为商家信息发布提供平台空间。用户咨询产品时请注意保护个人信息及财产安全,合理判断,谨慎选购商品,商家和用户对交易行为负责。对于医疗器械类产品,请先查证核实企业经营资质和医疗器械产品注册证情况。
文献和实验Chimerization of a Monoclonal Antibody for Treating Hodgkin's Lymphoma
follicles and at the rim of germinal centers (2 ). Consequently, Ber-H2 has been utilized as an immunotoxin by conjugating the antibody to the ribosome-inactivating toxin Saporin to treat four patients with refractory Hodgkin’s lymphoma
The importance of antibody molecules was first recognized in the 1890s, when it was shown that immunity to tetanus and diphtheria was caused by antibodies against the bacterial exotoxins (1 ). Around the same time, it was shown that antisera
Kamps's Western Blotting Protocol
in immunoprecipitates than anti-immunoglobulin antibodies.ECL analysis of immunoprecipitates using a second antibody is almost always blighted by strong staining of the antibody bands and by the staining of abundant proteins in the sample.Blots developed with iodinated
技术资料暂无技术资料 索取技术资料







![alpha Adaptin antibody [AC1-M11]](https://img1.dxycdn.com/2022/0328/571/1511940403119300453-14.jpg!wh200)



