万千商家帮你免费找货
0 人在求购买到急需产品
- 详细信息
- 技术资料
- 免疫原:
Synthetic C-terminal peptide corresponding to unique amino acid sequences on Particulate Guanylyl Cyclase B protein.
- 亚型:
IgG
- 形态:
Liquid
- 保存条件:
Store as concentrated solution. Centrifuge briefly prior to opening vial. For short-term storage (1-2 weeks), store at 4ºC. For long-term storage, aliquot and store at -20ºC or below. Avoid multiple freeze-thaw cycles.
- 克隆性:
Polyclonal
- 标记物:
Unconjugated
- 适应物种:
Human, Mouse, Rat
- 保质期:
12 months from the shipping date of the product.
- 目录编号:
GTX14784
- 级别:
Primary Antibodies
- 库存:
Available
- 供应商:
GeneTex
- 宿主:
Rabbit
- 应用范围:
WB, ICC/IF, IP, ELISA, IHC
- 浓度:
0.75-1.20 mg/ml (Please refer to the vial label for the specific concentration.)
- 靶点:
PGCB
- 抗体英文名:
PGCB antibody
- 抗体名:
PGCB 抗体
- 规格:
100 μg
WB analysis of PGCB recombinant protein using GTX14784 PGCB antibody.
Dilution : 1:500
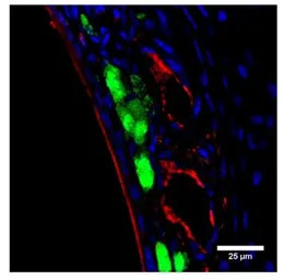
IHC analysis of mouse nose tissue using GTX14784 PGCB antibody. Staining is found on blood vessel walls.
Red : Primary antibody
Green : Greneberg ganglion nerons
Staining is found on blood vessel walls.
风险提示:丁香通仅作为第三方平台,为商家信息发布提供平台空间。用户咨询产品时请注意保护个人信息及财产安全,合理判断,谨慎选购商品,商家和用户对交易行为负责。对于医疗器械类产品,请先查证核实企业经营资质和医疗器械产品注册证情况。
技术资料暂无技术资料 索取技术资料





