相关产品推荐更多 >
万千商家帮你免费找货
0 人在求购买到急需产品
- 详细信息
- 文献和实验
- 技术资料
- 免疫原:
A His-tagged Plk fusion protein (C-term Plk1) corresponding to aa402-603 of the human Plk1 protein.
- 形态:
Liquid
- 保存条件:
Store as concentrated solution. Centrifuge briefly prior to opening vial. For short-term storage (1-2 weeks), store at 4ºC. For long-term storage, aliquot and store at -20ºC or below. Avoid multiple freeze-thaw cycles.
- 克隆性:
Monoclonal
- 标记物:
Unconjugated
- 适应物种:
Human, Mouse, Rat, Monkey, Xenopus
- 保质期:
12 months from the shipping date of the product.
- 抗原来源:
Human
- 目录编号:
GTX14210
- 级别:
Primary Antibodies
- 库存:
Available
- 供应商:
GeneTex
- 宿主:
Mouse
- 应用范围:
WB, ICC/IF, IHC-P, FACS, IP, ELISA
- 浓度:
Batch dependent (Please refer to the vial label for the specific concentration.)
- 靶点:
PLK1
- 抗体英文名:
PLK1 antibody [Mixed clones]
- 抗体名:
PLK1 抗体 [Mixed clones]
- 规格:
50 μg
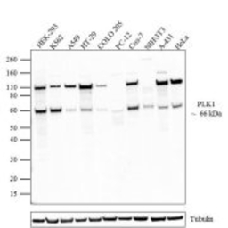
WB analysis of various samples using GTX14210 PLK1 antibody [Mixed clones].
Lane1 : HEK-293
Lane2 : K562
Lane3 : A549
Lane4 : HT-29
Lane5 : COLO 205
Lane6 : PC-12
Lane7 : Cos-7
Lane8 : NIH3T3
Lane9 : A-431
Lane10 : HeLa
Loading : 20μg
Dilution : 1-2μg/ml
ICC/IF analysis of HeLa cells using GTX14210 PLK1 antibody [Mixed clones].
Dilution : 1μg/ml
IHC-P analysis of human colon tissue using GTX14210 PLK1 antibody [Mixed clones].
Right : Primary antibody
Left : Negative control without primary antibody
Antigen retireval : 10mM sodium citrate (pH 6.0), microwaved for 8-15 min
Dilution : 1:20
IHC-P analysis of mouse colon tissue using GTX14210 PLK1 antibody [Mixed clones].
Right : Primary antibody
Left : Negative control without primary antibody
Antigen retireval : 10mM sodium citrate (pH 6.0), microwaved for 8-15 min
Dilution : 1:50
风险提示:丁香通仅作为第三方平台,为商家信息发布提供平台空间。用户咨询产品时请注意保护个人信息及财产安全,合理判断,谨慎选购商品,商家和用户对交易行为负责。对于医疗器械类产品,请先查证核实企业经营资质和医疗器械产品注册证情况。
文献和实验Antibody Select Procedure for Characterization of Expression Clones
This chapter essentially combines a variety of techniques already described in other chapters to allow a rapid characterization or con firmation of λ expression clones. Antibodies used to screen expres sion libraries (see Chapter 21
Borrowed from David Bowtell (bowtell@ariel.ucs.unimelb.edu.au) Transfer the srongest positive clones to a 24 well plate by scraping the adhering cells with a truncated yellow tip. Bring the volume to 1 ml using the IMDM-m
monoclonal antibodies have improved responses with minimal toxicities. For instance, Rituximab (chimeric anti-CD20 monoclonal antibody) was the first FDA-approved monoclonal antibody for the treatment of patients with non-Hodgkin’s lymphoma (NHL
技术资料暂无技术资料 索取技术资料





![MHC Class I RT1Ac antibody [OX-27]](https://img1.dxycdn.com/2022/0329/490/6348992937854020453-14.jpg!wh200)
![GPN1 antibody [GPN1/2350]](https://img1.dxycdn.com/2022/0328/460/2245984635103700453-14.jpg!wh200)
![CYP3A7 antibody [F19 P2 H2]](https://img1.dxycdn.com/2022/0328/304/5540510424855500453-14.jpg!wh200)


