相关产品推荐更多 >
万千商家帮你免费找货
0 人在求购买到急需产品
- 详细信息
- 技术资料
- 免疫原:
Two synthethic peptides corresponding to amino acids 131-145 (GEVNEDGEMTGEKIA) and 336-352 (GYDHSPPGKSGPEAPEW) of human SETD7 were used as immunogen for this antibody.
- 亚型:
IgG
- 形态:
Liquid
- 保存条件:
Store as concentrated solution. Centrifuge briefly prior to opening vial. For short-term storage (1-2 weeks), store at 4ºC. For long-term storage, aliquot and store at -20ºC or below. Avoid multiple freeze-thaw cycles.
- 克隆性:
Polyclonal
- 标记物:
Unconjugated
- 适应物种:
Human, Mouse, Rat
- 保质期:
12 months from the shipping date of the product.
- 抗原来源:
Human
- 目录编号:
GTX13731
- 级别:
Primary Antibodies
- 库存:
Available
- 供应商:
GeneTex
- 宿主:
Rabbit
- 应用范围:
WB, IHC-P, ChIP assay
- 靶点:
This is specific for Set7/9 (a histone H3 lysine 4 methyltransferase) and does not recognize PR-Set7 (a histone H4 lysine 20 methyltransferase).
- 抗体英文名:
SETD7 antibody
- 抗体名:
SETD7 抗体
- 规格:
200 μl
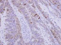
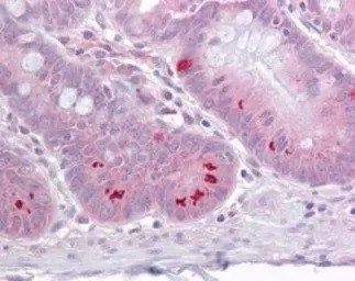
IHC-P analysis of human small intestine tissue using GTX13731 SETD7 antibody.
Dilution : 1:100
WB analysis of (A) MCF-7 and (B) HeLa cell lysate using GTX13731 SETD7 antibody.
Dilution : 1:500
风险提示:丁香通仅作为第三方平台,为商家信息发布提供平台空间。用户咨询产品时请注意保护个人信息及财产安全,合理判断,谨慎选购商品,商家和用户对交易行为负责。对于医疗器械类产品,请先查证核实企业经营资质和医疗器械产品注册证情况。
技术资料暂无技术资料 索取技术资料






![IL2 Receptor alpha antibody [P4A10] (PE)](https://img1.dxycdn.com/2022/0328/285/2719769054040500453-14.jpg!wh200)

![MAML3 antibody [MAML3/1303]](https://img1.dxycdn.com/2022/0328/580/1587193375680700453-14.jpg!wh200)

