相关产品推荐更多 >
万千商家帮你免费找货
0 人在求购买到急需产品
- 详细信息
- 文献和实验
- 技术资料
- 免疫原:
Synthetic 22 amino acid peptide from 2nd extracellular domain of human PRLHR / GPR10.
- 亚型:
IgG
- 形态:
Liquid
- 保存条件:
Store as concentrated solution. Centrifuge briefly prior to opening vial. For short-term storage (1-2 weeks), store at 4ºC. For long-term storage, aliquot and store at -20ºC or below. Avoid multiple freeze-thaw cycles.
- 克隆性:
Polyclonal
- 标记物:
Unconjugated
- 适应物种:
Human, Rat, Monkey
- 保质期:
12 months from the shipping date of the product.
- 抗原来源:
Human
- 目录编号:
GTX13376
- 级别:
Primary Antibodies
- 库存:
Available
- 供应商:
GeneTex
- 宿主:
Rabbit
- 应用范围:
IHC-P
- 浓度:
1 mg/ml (Please refer to the vial label for the specific concentration.)
- 靶点:
GPR10
- 抗体英文名:
GPR10 antibody
- 抗体名:
GPR10 抗体
- 规格:
25 μg
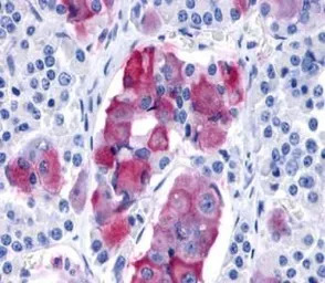
IHC-P analysis of human pituitary, anterior tissue using GTX13376 GPR10 antibody.
Antigen retrieval : Heat-induced antigen retrieval
风险提示:丁香通仅作为第三方平台,为商家信息发布提供平台空间。用户咨询产品时请注意保护个人信息及财产安全,合理判断,谨慎选购商品,商家和用户对交易行为负责。对于医疗器械类产品,请先查证核实企业经营资质和医疗器械产品注册证情况。
文献和实验NSMB:徐华强 / 谢欣 / 蒋轶发现孤儿受体 GPR119 内源性配体的分子机制
糖尿病、脂肪肝和肥胖症等代谢性疾病已经成为影响人类健康的一大「杀手」,研究显示一些孤儿受体可能成为治疗这些疾病的重要靶点。 GPR119 又被称为葡萄糖依赖的促胰岛素受体(Glucose-dependent insulinotropic receptor),是 G 蛋白偶联受体(GPCR)超家族中的一种孤儿受体。由于其在糖代谢调控中的作用,GPR119 被认为是一种治疗糖尿病、脂肪肝和肥胖症等代谢性疾病的潜在药物靶点。GPR119 主要分布在胰岛 β 细胞和胃肠道 L 细胞,调节葡萄糖依赖
,别人可以,自己确实不一定可以。 07 实验室的补助要涨了事实上,补助不降已经是学校和实验室对你最大的温柔。 08 等我搞科研发财了送外卖发财可能都比搞科研发财容易啊,发财了能怎么样,还不是做着用暴富的钱买进口试剂的梦。 09 我是老板带过的最有科研天赋的学生之一是的,每个人都会觉得他是其中之一,理论上,这样说没毛病。 10 师兄要发论文了,我帮过忙,能共一吧老板:共同通讯要不要啊,少年~~能坚持看完这篇推送的你,梦醒了吗?
科学界一直以来都有这样的传统:如果科学家找不到“小白鼠”,或者觉得让他人冒险很不道德,那么就会自己“献身”科学。自我实验就像一首英雄主义的史诗,不过也散发着一丝丝疯狂的气息。下面展示的这10个疯狂的自我实验,看来也是一个比一个癫狂。 10. 音速急刹车 第二次世界大战后,美国空军需要知道飞行员从超音速飞机中弹后能否逃过一劫,因为由音速到接近零的突然减速往往会导致死亡。这种速度的变化会让飞行员受到超过40G甚至50G的压力。(1G
技术资料暂无技术资料 索取技术资料






![KCNT1 antibody [S3-26]](https://img1.dxycdn.com/2022/0328/656/5384799071314400453-14.jpg!wh200)



